연세대 교정과 박사
전문의가 직접 진료합니다
처음부터 끝까지 담당의 변경 없이
한 전문의가 책임집니다
왜 교정 전문의여야
할까요?
연세대 교정과
박사 출신 전문의
치과대학 졸업 후 4년간의 추가 수련을 거쳐
보건복지부가 인증하는 교정과 전문의 자격을
취득했습니다.
국내외 학회에서
인정받은 실력
국내 학회뿐 아니라 대만, 아시아퍼시픽 등
국제 학회에서도 우수 증례로 선정되어
실력을 인정받았습니다.
KAO 전공의학술대회
대한치과교정학회 우수 증례 선정
TAO 대만국제교정학회
한국 대표 선발 / 구연부분 우수 증례상
APOS 아시아퍼시픽교정학회
구연부분 우수 증례상
2~3년의 긴 여정
끝까지 함께합니다
교정 치료는 평균 2~3년이 소요됩니다.
처음 상담부터 장치 제거까지
담당의 변경 없이 한 전문의가 책임집니다.
상담 · 진단
정밀 검사와 개인 맞춤 치료 계획 수립
교정 치료
4~6주마다 정기 내원, 세밀한 조정
유지 관리
장치 제거 후 유지장치로 완벽한 마무리
일반 치과에서는 담당의가 바뀌거나 퇴사하는 경우가 많습니다.
연세온아치과는 교정 전문의가 끝까지 책임집니다.
일반 치과와
이렇게 다릅니다
2~3년의 여정,
전문의에게 맡기세요
교정과 전문의가 처음부터 끝까지 책임집니다

류승민
교정과원장
연세대학교 치과대학원 박사
보건복지부인증 치과교정과 전문의
- 연세대학교 치과대학원 치의학 박사
- 연세대학교 치과대학원 치의학 석사
- 연세대학교 치과대학병원 치과교정과 전공의 수료
- 대한치과교정학회 정회원
- 세계교정연맹(WFO) 정회원
국내외 학회 수상 경력
대학병원 수련 과정에서 쌓은 실력을
국내외 학회에서 인정받았습니다
KAO 우수 증례상
대한치과교정학회(KAO) 전공의학술대회
우수 증례 선정
국내 최대 규모 교정 학회, 매년 1,000명 이상 참석
TAO 한국대표 선발
대만국제교정학회(TAO)
한국대표로 선발되어 발표
세계교정연맹(WFO) 소속, 아시아태평양 주요 학회
APOS 우수 증례상
아시아퍼시픽교정학회(APOS)
구연부분 우수 증례상 수상
아태지역 18개국 교정학회 연합, 2001년 설립
💡 국내외 학회에서 인정받은 실력으로 환자분의 교정 치료를 책임집니다.
교정과 전문의만의
차별화된 진료
대학병원에서 수련받은 전문의만이
제공할 수 있는 체계적인 교정 치료
정확한 진단
세팔로 분석, 3D 구강 스캔 등 정밀 검사를 통한 과학적 진단
맞춤 치료 계획
환자 개개인의 치아 상태와 얼굴형을 고려한 개인 맞춤 교정 계획
복잡한 케이스 대응
대학병원급 경험으로 악교정, 매복치 교정 등 난이도 높은 케이스 대응
처음부터 끝까지 일관된 진료
2~3년의 긴 치료 기간 동안 담당의 변경 없이 한 전문의가 책임
“교정은 단순히 치아를 가지런히 하는 것이 아닙니다.
환자분의 얼굴, 저작 기능, 구강 건강을 모두 고려한
균형 잡힌 결과를 만들어 드리겠습니다.”
- 류승민 교정과 전문의
TREATMENT TYPES
나에게 맞는
교정 찾기
다양한 교정 방법 중
상담을 통해 최적의 방법을 찾아드립니다
메탈 브라켓
가장 효율적이고 경제적인 교정 방법
추천 대상
소아청소년, 비용 중시
세라믹 브라켓
치아색과 유사하여 심미성이 우수한 교정
추천 대상
성인, 심미성 중시
자가결찰 브라켓
클리피씨 / 데이몬
마찰력 감소로 치료 기간 단축
추천 대상
직장인, 통증 민감
설측교정
치아 안쪽에 부착하여 완전히 보이지 않음
추천 대상
연예인, 승무원, 심미성 최우선
투명교정
인비절라인
탈착 가능한 투명 장치로 편리한 교정
추천 대상
경미한 케이스, 편의성 중시
비용 안내
교정 비용은 개인의 치아 상태, 교정 방법, 치료 기간에 따라 달라집니다.
정확한 비용은 상담 후 안내해 드립니다.
인비절라인 공식 교육 이수
류승민 원장은 인비절라인 공식 교육을 이수하여
투명교정에 대한 전문적인 진료가 가능합니다.
TREATMENT PROCESS
교정 치료
7단계 과정
처음 상담부터 유지 관리까지
체계적인 과정으로 진행됩니다
상담 · 진단
정밀 검사
X-ray, 구강 스캔, 안면 사진 등 정밀 검사를 통한 맞춤 진단
개인별 맞춤 치료 계획 수립치료 계획
계획 수립
발치 필요 여부, 교정 방법, 예상 기간 등 상세 계획 안내
환자와 충분한 상담 후 결정사전 치료
구강 건강 준비
충치 치료, 스케일링 등 교정 전 구강 환경 최적화
건강한 상태에서 교정 시작장치 부착
교정 시작
선택한 교정 장치를 부착하고 본격적인 교정 치료 시작
초기 적응 기간 안내정기 내원
세밀한 조정
4~6주마다 정기 내원하여 치아 이동 상태 확인 및 조정
평균 18~30개월 치료 기간장치 제거
교정 완료
목표한 위치로 치아 이동 완료 후 교정 장치 제거
아름다운 미소 완성유지 관리
평생 관리
유지장치 착용으로 교정 결과 오래 유지
최소 2~3년, 이상적으로 평생알아두세요
교정 치료 기간과 과정은 개인의 치아 상태에 따라 달라질 수 있습니다. 정확한 치료 계획은 상담 시 안내해 드립니다.
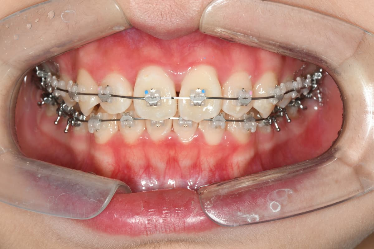
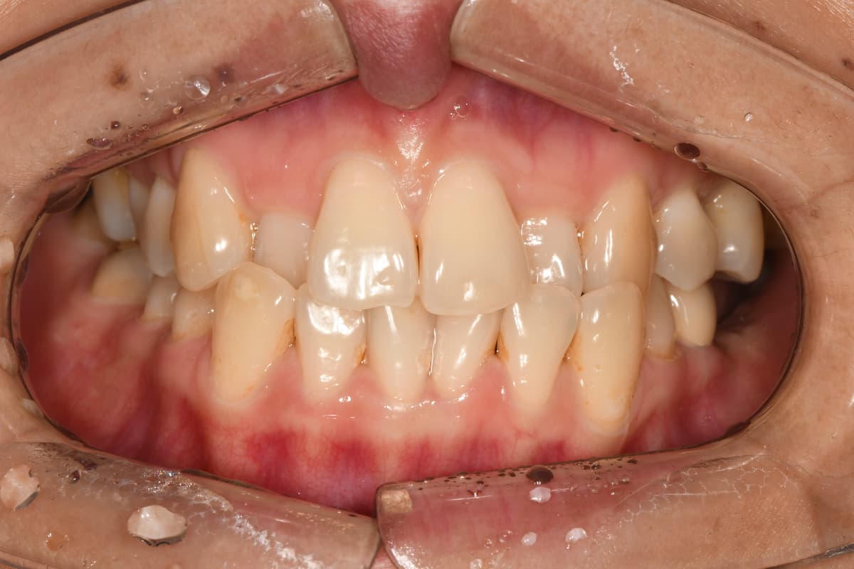
교정 치료 전후 사례
교정과 전문의가 직접 진료한
실제 환자 케이스입니다
김●● · 일반 교정

After
이●● · 심한 부정교합
AGE & ORTHODONTICS
성인 교정 vs
성장기 교정
연령대별 특성을 고려한
맞춤 교정 치료를 제공합니다
성인 교정
나이에 상관없이 아름다운 미소를
골격 변화는 수술로만
성인은 성장이 완료되어 턱뼈 크기/방향 조절은 수술을 통해서만 가능합니다.
치아 이동 속도
성장기 대비 약 1.5배 느리지만, 꾸준한 관리로 목표 달성이 가능합니다.
잇몸 건강 중요
잇몸 질환이 있다면 완치 후 교정을 진행해야 안전합니다.
심미성 중시
직장 생활, 사회 활동을 위해 투명교정이나 설측교정 선호도가 높습니다.
성인도 충분히 교정이 가능합니다. 40대, 50대도 아름다운 미소를 가질 수 있습니다.
어떤 교정이 나에게 맞을까요?
교정 전문의와 상담하고 정확한 진단을 받아보세요
PRICING GUIDE
교정 비용 안내
정확한 비용은 개인별 상태에 따라
상담 후 안내해 드립니다
왜 상담 후 안내일까요?
교정 비용은 치아 상태, 교정 방법,
치료 기간에 따라 크게 달라집니다.
정확한 진단 없이 안내드리는 비용은
오히려 혼란을 줄 수 있습니다.
연세온아치과 약속
- ✓정직하고 투명한 비용 안내
- ✓추가 비용 발생 시 사전 설명
- ✓무이자 할부 상담 가능
교정 비용에 포함된 항목
정밀 검사
X-ray, 구강 스캔, 안면 사진
치료 계획
개인 맞춤 계획 수립 및 상담
교정 장치
선택한 교정 장치 비용 포함
정기 조정
치료 기간 내 모든 조정 비용
유지장치
교정 완료 후 유지장치 제공
추가 비용이 발생할 수 있는 항목
* 추가 비용 발생 시 사전에 충분히 설명드립니다
상담만 받으셔도 됩니다. 부담 없이 문의해 주세요.
연세대 출신 전문의 5인 협진
연세온아치과
최고의 의료진

김유성
대표원장 · 병원장현) 연세대학교 임상지도 교수
보건복지부 인증 치과보철과 전문의
보건복지부 인증 통합치의학과 전문의
- 현)연세온아치과병원 병원장
- 연세대학교 치과대학 졸업
- 연세대학교 치과병원 원내진료실
- 연세대학교 치과병원 인턴
- 아주대학교 치과병원 레지던트
- 아주대학교 치주임플란트보철과 석사
- 치과보철과 인정의(보건복지부 인정)
- Taiwan Bio tech 자문의사
- 임플란트 식립관련 특허 제 10-2537546 호
- 치과용 스테이플러 출원 중
- Advanced Cardiac Life Support provider(ACLS)
- 전문심폐소생술 자격증
- 대한치과보철학회 디지털마스터 코스 수료
- UCLA 치과병원 externship
- 측두하악관절자극요법 인증기관
- 턱관절장애교육 수료
- 턱관절장애 교육연구회 정회원
- 대한치과보철학회 정회원
- 대한구강악안면임플란트학회 정회원
- 대한심미치과학회 정회원
- 대한치과보존학회 정회원
- 전)보령하나플란트 부원장
- 전)에이스치과 부원장
- 전)안산연세치과 부원장

김진형
대표원장현) 연세대학교 임상지도 교수
보건복지부 인증 통합치의학과 전문의
- 현)연세온아치과병원 대표원장
- 연세대학교 치과대학 졸업
- 연세대학교 치과병원 원내진료실
- Taiwan Bio tech 자문의사
- 대한공중보건의사협회 치과대표
- 측두하악관절자극요법 인증기관
- 턱관절장애교육 수료
- 턱관절장애 교육연구회 정회원
- 대한치과보철학회 정회원
- 대한구강악안면임플란트학회 정회원
- 대한심미치과학회 정회원
- 대한치과보존학회 정회원
- 유펜엔도 코스 수료
- 오스템 마스터 코스 수료
- 전)질병관리청 구강검진의
- 전)동부구치소 의료과 치과과장
- 전)스마일365 부원장
- 전)킴스플란트 부원장

김태원
대표원장보건복지부 인증 통합치의학과 전문의
- 연세대학교 치과대학 졸업
- 연세대학교 치과병원 원내진료실
- Cre'ad Endo Course 수료
- 오스템 AIC Implant Course 수료
- 턱관절장애 연수회 수료
- 턱관절장애 교육연구회 정회원
- 대한통합치과학회 정회원
- 대한심미치과학회 정회원
- 전)수치과보철과치과의원 부원장
- 전)중앙치과의원 부원장
- 전)광교365리움치과병원 대표원장

김태욱
원장서울대학교 치의학 석사
- 서울대학교 치의학대학원 졸업
- 서울대학교 치과병원 종합진료실 근무
- 측두하악관절요법 인증의
- 국민건강보험공단 인증 구강검진의
- 유펜 Endodontics Course
- 오스템 AIC Implant Master Course 수료
- 덴티스 CTS Implant Gold Course 수료
- ATC 심미보철 연구회 회원
- 미국심장협회 BLS(Basic Life Support) provider
- 전)서울쿤스트치과의원 부원장

류승민
교정과 대표원장보건복지부 인증 치과교정과 전문의
연세대학교 치과대학 차석 졸업
- 연세대학교 치과대학병원 인턴 / 교정과 레지던트 수료
- 대한치과 교정학회 인정의 및 정회원
- 연세대학교 교정연구회 (세정회) 정회원
- 연세대학교 치의학대학원 석박사 통합 과정 수료 (교정학)
- 미국 UCSF(University of California San Francisco), UOP(University of the Pacific) 치과교정과 교환 연수
- 세계교정치과연맹 (WFO) Fellowship
- 미국 교정학회 (AAO) 정회원
- 인비절라인 교육 이수
- 연세대학교 치과대학 대한치과의사협회장상 수상
- 대한치과교정학회(KAO) 전공의학술대회 우수 증례
- 대만국제교정학회 한국대표 선발
- 대만국제교정학회(TAO), 아시아퍼시픽교정학회 (APOS) 구연부분 우수 증례상
- 연세대학교 치과대학 교정과학교실 우석 우수전공의상
자문의사

최영진
자문의사현) 중앙대 광명병원 구강악안면외과 교수
현) 서울아산병원 외래교수
- 울산대학교 대학원 치의학석사
- 원광대학교 치과대학 졸업
- 서울대학교 치과병원 인턴
- 서울아산병원 구강악안면외과 전공의
- 치과구강악안면외과 전문의(보건복지부 인정)
- 치과통합치의학과 전문의(보건복지부 인정)
- 대한악안면성형재건외과 인정의
- 대한구강악안면외과학회 정회원
- 대한양악수술학회 준회원
- SCI논문 공동1저자(J Craniomaxillofac surgery)
- 전)청양 보건의료원 치과 과장
SLOGAN
우리가족 치과 주치의,
온아치과입니다.
가족을 대하는 마음으로
정직하고 양심적인 진료만 하겠습니다.
온아치과의 5가지 약속
정직하게 진단하여 과잉진료하지 않겠습니다.
항상 치아를 살리기 위해 연구하겠습니다.
놓치는 부분이 없도록 꼼꼼하게 치료하겠습니다.
아프지 않도록 환자를 배려하겠습니다.
소독된 기구와 장비로 청결하게 진료하겠습니다.
연세온아치과가
최고인 이유
대학병원급
시설과 의료진
현직 외래교수 및 최고 경력의 원장 5인이
최첨단 설비에서 협진합니다









유명 대학병원
공식 지정 협력 병원
대학병원 치료 후 본원에서 사후관리,
각종 임상 케이스 공유 등 긴밀한 협력
분당서울대학교병원

연세세브란스병원

아주대학교병원
중앙대학교병원

단국대학교병원
활발한 학술 활동
대학교 교수님들과 교류하고 레지던트를 지도하며
최신 임상 데이터와 연구 동향을 꾸준히 파악합니다

학생 임상 지도 (김유성 원장)

학생 임상 지도 (김진형 원장)

제89회 대한치과보철학회 학술대회 발표
압도적인 임상 경험
단순히 동네에서 치과를 운영하는 것보다 압도적으로 많은 임상 경험을 지속해서 쌓고 있습니다.
최신 연구 동향 파악
실제 대학교 교수님들과 교류하고 레지던트들을 지도하면서 최신 임상 데이터나 연구 동향을 꾸준히 확인합니다.
임플란트 식립 관련 특허 출원
임플란트 연구에 진심입니다.
더 나은 치료를 위해 끊임없이 연구합니다.

치과용 스테이플러 추가 출원 중

치과의사가 알려주는
진짜 안전한 치과치료 이야기
국민 구강건강을 위한 도서 출판
올바른 치과 상식을 전파합니다
“환자분들이 치과에 대한 두려움 없이
올바른 정보를 알고 안심하고 치료받으셨으면 합니다”
- 김유성 대표원장
365일 진료
평일 야간진료
원장이 많고 병원이 크기 때문에 가능합니다
평일
야간진료
주말/공휴일
정상진료
야간이나 주말에도
다른 의료진이 아닌
대표원장들이 직접 진료합니다
병원 전경

연세온아치과병원
쏠스퀘어 건물 2층
오시는 길
경기도 용인시 기흥구 구성동 솔스퀘어 2층
다이소 용인구성점 맞은편
구성역에서: 좌회전 → 다이소 지나 우회전
이마트 트레이더스에서: 1km 직진
상현역에서: 우회전 → 수지우체국 지나 직진 4km
기흥구청에서: 좌회전 → 구성삼거리 지나 우회전 2.4km
신갈역에서: 좌회전 → 기흥로 직진 2.2km
기흥역에서: 직진 → 기흥로 따라 4km
마북동에서: 좌회전 → 이마트 트레이더스 방면 2km
보라동에서: 우회전 → 기흥로 직진 5km
동백역에서: 좌회전 → 백현로 따라 3.5km
언남동에서: 우회전 → 이마트 트레이더스 방면 1.5km
보정역에서: 좌회전 → 수지IC 방면 2km
수지IC에서: 구성 방면 출구 → 직진 1.5km
편안한 주차 공간 완비
솔스퀘어 지하 1~5층 주차장 이용

※ 데스크에서 차량번호 등록 필수
지하 2층, 4층은 엘리베이터가 없습니다. (지하 1, 3, 5층 이용 권장)
연세온아치과는 고객님의 편의를 최우선으로 생각합니다.
편안한 주차 환경부터 쾌적한 진료 공간까지,
고객 중심의 치과를 만들어갑니다.
진료시간 안내
편하신 방법으로 예약 문의주세요
다양한 치료에 대한 설명을
영상으로 확인하세요
연세온아치과 대표원장의 치과 이야기

의학채널 비온뒤 출연
여에스더, 홍혜걸 박사의 건강 프로그램

노년기 틀니해방일지
all on x(올온엑스)
연세온아치과병원 보철과 김유성
김유성 대표원장이
전체임플란트 치료 전문가로 출연하여
올온엑스(All-on-X) 치료를 직접 설명합니다
자주 묻는 질문
교정 전문의가 왜 중요한가요?
교정 전문의는 치과대학 졸업 후 4년간의 추가 수련을 거쳐 보건복지부가 인증하는 자격을 취득한 의사입니다. 전체 치과의사 중 단 1.5%만이 교정 전문의입니다. 특히 2~3년이라는 긴 치료 기간 동안 담당의 변경 없이 한 전문의가 처음부터 끝까지 책임지는 것이 중요합니다.
교정 비용이 얼마나 드나요?
교정 비용은 개인의 치아 상태, 선택하시는 교정 방법, 예상 치료 기간에 따라 달라집니다. 정확한 비용은 정밀 진단 후 상담을 통해 안내해 드리며, 무이자 할부도 가능합니다.
교정 기간이 얼마나 걸리나요?
일반적으로 18개월~30개월 정도 소요됩니다. 개인의 치아 상태와 교정 목표에 따라 달라질 수 있으며, 정확한 기간은 정밀 진단 후 안내해 드립니다. 장치 제거 후에도 유지장치를 착용하여 교정 결과를 오래 유지하는 것이 중요합니다.
교정이 많이 아픈가요?
장치 부착 초기나 조정 직후 며칠간 뻐근한 느낌이 있을 수 있지만, 대부분 금방 적응하십니다. 자가결찰 브라켓이나 투명교정은 기존 브라켓보다 통증이 적어 편안한 교정이 가능합니다.
성인도 교정이 가능한가요?
네, 물론입니다. 나이에 상관없이 교정은 가능합니다. 40대, 50대도 아름다운 미소를 가질 수 있습니다. 다만 성인은 성장기보다 치아 이동 속도가 조금 느리고, 잇몸 건강 상태를 먼저 확인해야 합니다. 심미성을 위해 투명교정이나 설측교정을 선호하시는 분들이 많습니다.
발치를 꼭 해야 하나요?
모든 환자분께 발치가 필요한 것은 아닙니다. 치아 배열 상태, 돌출 정도, 공간 부족 여부에 따라 달라지며, 정밀 진단 후 발치 필요 여부를 정확히 안내해 드립니다. 가능하다면 발치 없이 진행하는 것이 좋지만, 더 나은 결과를 위해 발치가 필요한 경우도 있습니다.
투명교정(인비절라인)이 효과가 있나요?
네, 효과가 있습니다. 다만 모든 케이스에 적합한 것은 아닙니다. 경미한 배열 문제나 심미성을 중시하는 분께 추천드리며, 복잡한 케이스는 브라켓 교정이 더 효과적일 수 있습니다. 류승민 원장은 인비절라인 공식 교육을 이수하여 전문적인 투명교정 진료가 가능합니다.
아이 교정, 언제 시작해야 하나요?
6~7세에 첫 교정 검진을 받는 것을 권장합니다. 이 시기에 문제를 조기에 발견하면 성장을 활용한 효과적인 교정이 가능합니다. 본격적인 교정 치료는 보통 9~10세 이후에 시작하지만, 개인마다 최적의 시기가 다르므로 교정 전문의의 정확한 진단이 중요합니다.







