WHY GUM CARE
잇몸관리가
왜 중요할까요?
잇몸은 치아의 기초입니다
기초가 튼튼해야 치아도 건강합니다
충치 예방
건강한 잇몸이 치아 뿌리를 보호하여 충치 발생 위험을 낮춥니다
자연치아 수명 연장
잇몸이 튼튼해야 치아가 흔들리지 않고 오래 사용할 수 있습니다
임플란트 예방
잇몸관리로 발치를 막으면 비용이 큰 임플란트를 피할 수 있습니다
치료비 절감
예방이 치료보다 저렴합니다 정기적인 관리로 큰 비용을 아낍니다
잇몸관리 = 치아 보존 = 건강 + 비용 절감
예방이 가장 좋은 치료입니다
VIDEO
잇몸 건강의 모든 것
영상으로 확인하세요
잇몸질환의 원인부터 치료법,
예방법까지 한 번에 정리해 드립니다
연세대 외래교수가 알려주는 잇몸관리의 모든것
잇몸관리 제대로 안하면 나중에 정말 후회할 수 있어요
잇몸질환,
입안 문제로 그치지 않습니다
전신 건강에 심각한 영향을 미치는
잇몸질환의 위험성
그래서 잇몸관리가 중요합니다
잇몸 건강은 전신 건강의 시작입니다
정기적인 관리로 건강을 지키세요
PHILOSOPHY
좋은 치과의 기준
잇몸 치료를 적극적으로 하는 치과가
좋은 치과입니다
많은 병원이 잇몸 치료를
꺼리는 이유
발치 후 임플란트가 수익성이 더 큼
환자들이 잇몸 치료 통증을 싫어함
치료 후 결국 발치하면 민원 우려
시간과 노력 대비 수익이 적음
온아치과가 잇몸 치료를
고집하는 이유
자연치아 보존이 항상 1순위
4단계 무통 마취로 편안한 치료
꼼꼼한 스케일링으로 제대로 치료
평생 치아 건강을 최우선으로
자연치아를 살리는 것이
가장 좋은 치료입니다
조금 불편하더라도 정기적인 잇몸 관리로
자연치아를 지키는 것이 임플란트보다 가치있는 선택입니다
COMPARISON
양치질과 스케일링만 하면
충분하지 않나요?
두 가지 관리 모두 매우 중요합니다
하지만 완벽한 관리는 어렵습니다
양치질
치아 표면 청결 유지 가능
치석 제거 불가능
잇몸선 아래는 닿지 않음
스케일링
치은연상 치석 제거
예방 및 경미한 치료
깊은 부위는 한계가 있음
잇몸 치료
치은연하 깊숙한 치료
치근활택술로 뿌리 매끈하게
진행된 질환 치료
스케일링 vs 잇몸 치료
| 스케일링 | 잇몸 치료 | |
|---|---|---|
| 범위 | 치은연상 (잇몸 위) | 치은연하 (잇몸 아래) |
| 내용 | 치석 및 치태 제거 | 큐렛 사용 항생제 연고 |
| 목적 | 예방 및 경미한 치료 | 예방 및 중증도 이상 |
| 주기 | 연 1회 만 19세 이상 | 치료 필요 시 나누어 진행 |
정기적인 스케일링과 필요시 잇몸치료로
자연치아를 오래 지키세요
TREATMENT SYSTEM
온아치과만의
잇몸 치료 시스템
정밀한 장비와 체계적인 시스템으로
편안하고 효과적인 치료를 제공합니다
NSK varios 970 초음파 스케일러
일본 NSK사의 최신 초음파 스케일러로 잇몸 깊숙한 세균까지 정밀하게 제거
iPiezo 엔진 : 자동 주파수 조절로 안정적 출력
초정밀 팁 : 치주낭 깊은 곳까지 접근 가능
페리오클린 항생 연고
미노사이클린 성분의 국소 항생제로 잇몸 깊은 곳에 직접 주입
임상 검증 : 국내외 연구팀의 효과 인증
일주일 지속 : 한 번 주입으로 약효 유지
세균 감소 : Red Complex 세균 87.5% → 12.5%
4단계 통증 완화 시스템
"치과 치료가 이렇게 편할 수도 있구나" 많은 환자분들이 놀라는 시스템
1단계 : 가글 마취로 입안 전체 둔감화
2단계 : 도포 마취로 주사 부위 차단
3단계 : 전동마취기로 일정 속도 주입
4단계 : 신경관마취로 완벽한 차단
아프지 않게, 제대로 치료합니다
최신 장비 + 무통 시스템 = 편안한 잇몸 치료
CASE STUDY
실제 치료 사례
정기적인 잇몸 치료로
임플란트 없이 건강한 치아 유지
"뼈가 심하게 녹았는데
잇몸치료로 뼈가 차올랐어요"

Before

After
심한 잇몸병으로 뼈가 많이 녹은 상태
잇몸치료와 뼈이식으로 뼈 재생 후 임플란트 성공
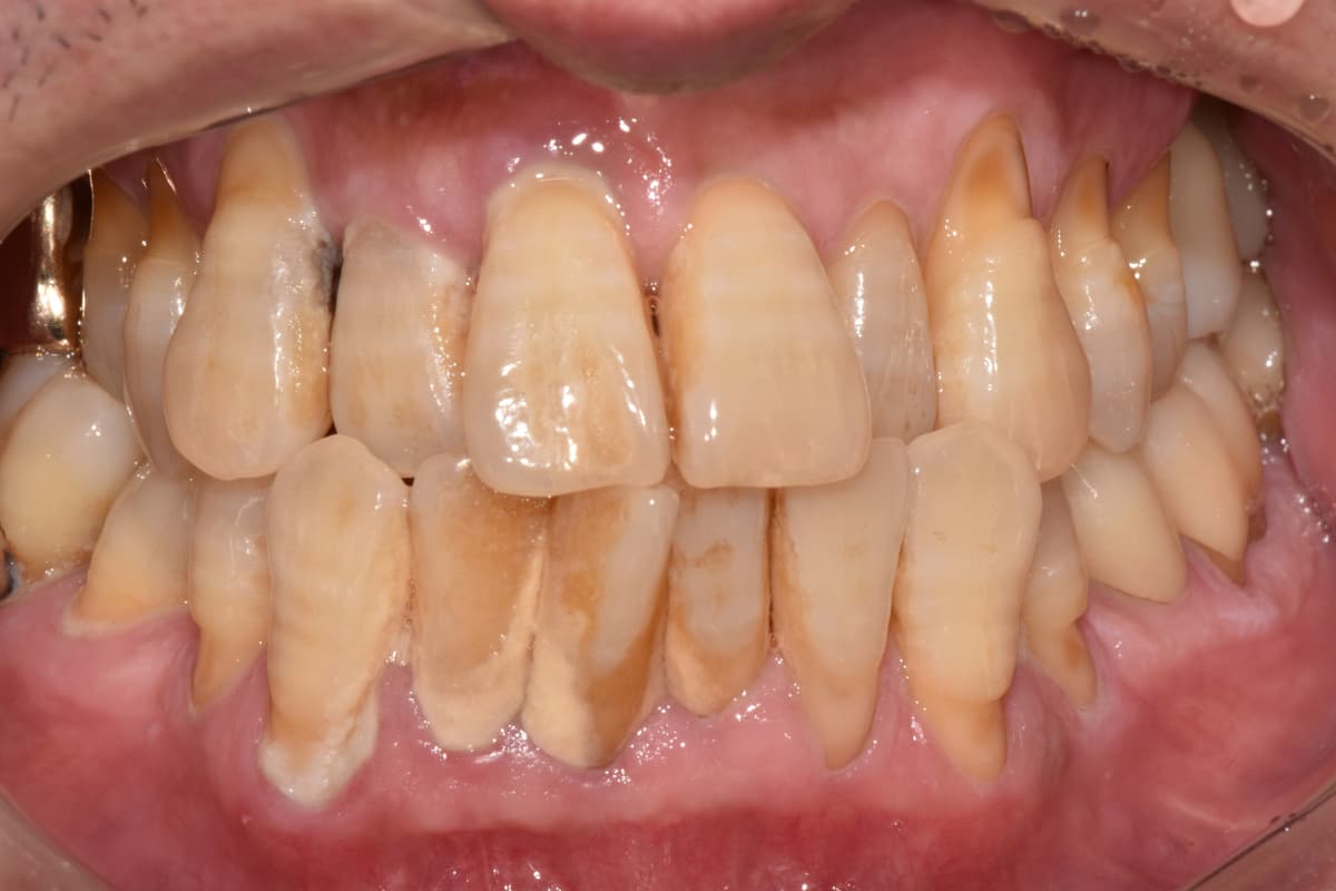
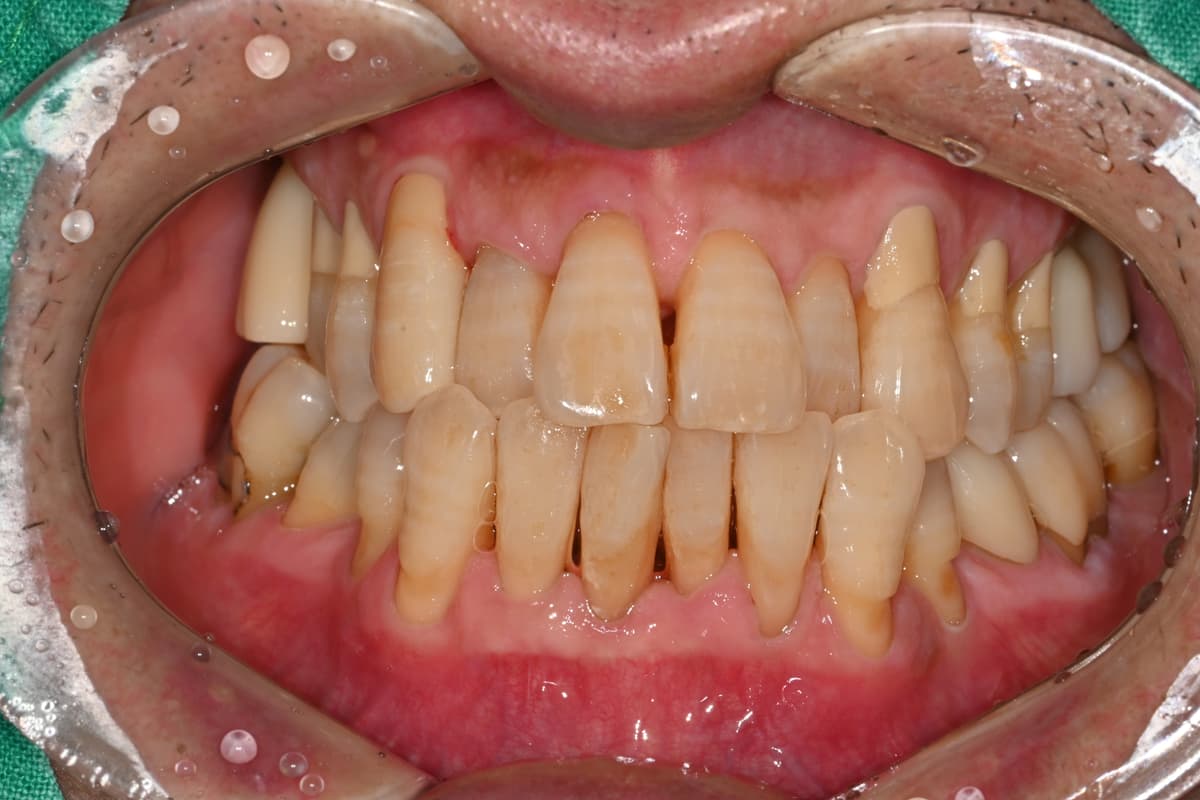
"정기적인 관리 덕분에
50대에도 모든 치아가 건강해요"

Before

After
치석과 잇몸 염증이 심했던 상태
정기적인 스케일링과 관리로 건강하게 유지
자연치아 보존이 최우선입니다
임플란트보다 내 치아가 더 소중합니다
연세온아치과에서 잇몸부터 지켜드립니다
연세대 출신 전문의 5인 협진
연세온아치과
전문 의료진

김유성
대표원장 · 병원장현) 연세대학교 임상지도 교수
보건복지부 인증 치과보철과 전문의
보건복지부 인증 통합치의학과 전문의
- 현)연세온아치과병원 병원장
- 연세대학교 치과대학 졸업
- 연세대학교 치과병원 원내진료실
- 연세대학교 치과병원 인턴
- 아주대학교 치과병원 레지던트
- 아주대학교 치주임플란트보철과 석사
- 치과보철과 인정의(보건복지부 인정)
- Taiwan Bio tech 자문의사
- 임플란트 식립관련 특허 제 10-2537546 호
- 치과용 스테이플러 출원 중
- Advanced Cardiac Life Support provider(ACLS)
- 전문심폐소생술 자격증
- 대한치과보철학회 디지털마스터 코스 수료
- UCLA 치과병원 externship
- 측두하악관절자극요법 인증기관
- 턱관절장애교육 수료
- 턱관절장애 교육연구회 정회원
- 대한치과보철학회 정회원
- 대한구강악안면임플란트학회 정회원
- 대한심미치과학회 정회원
- 대한치과보존학회 정회원
- 전)보령하나플란트 부원장
- 전)에이스치과 부원장
- 전)안산연세치과 부원장

김진형
대표원장현) 연세대학교 임상지도 교수
보건복지부 인증 통합치의학과 전문의
- 현)연세온아치과병원 대표원장
- 연세대학교 치과대학 졸업
- 연세대학교 치과병원 원내진료실
- Taiwan Bio tech 자문의사
- 대한공중보건의사협회 치과대표
- 측두하악관절자극요법 인증기관
- 턱관절장애교육 수료
- 턱관절장애 교육연구회 정회원
- 대한치과보철학회 정회원
- 대한구강악안면임플란트학회 정회원
- 대한심미치과학회 정회원
- 대한치과보존학회 정회원
- 유펜엔도 코스 수료
- 오스템 마스터 코스 수료
- 전)질병관리청 구강검진의
- 전)동부구치소 의료과 치과과장
- 전)스마일365 부원장
- 전)킴스플란트 부원장

김태원
대표원장보건복지부 인증 통합치의학과 전문의
- 연세대학교 치과대학 졸업
- 연세대학교 치과병원 원내진료실
- Cre'ad Endo Course 수료
- 오스템 AIC Implant Course 수료
- 턱관절장애 연수회 수료
- 턱관절장애 교육연구회 정회원
- 대한통합치과학회 정회원
- 대한심미치과학회 정회원
- 전)수치과보철과치과의원 부원장
- 전)중앙치과의원 부원장
- 전)광교365리움치과병원 대표원장

김태욱
원장서울대학교 치의학 석사
- 서울대학교 치의학대학원 졸업
- 서울대학교 치과병원 종합진료실 근무
- 측두하악관절요법 인증의
- 국민건강보험공단 인증 구강검진의
- 유펜 Endodontics Course
- 오스템 AIC Implant Master Course 수료
- 덴티스 CTS Implant Gold Course 수료
- ATC 심미보철 연구회 회원
- 미국심장협회 BLS(Basic Life Support) provider
- 전)서울쿤스트치과의원 부원장

류승민
교정과 대표원장보건복지부 인증 치과교정과 전문의
연세대학교 치과대학 차석 졸업
- 연세대학교 치과대학병원 인턴 / 교정과 레지던트 수료
- 대한치과 교정학회 인정의 및 정회원
- 연세대학교 교정연구회 (세정회) 정회원
- 연세대학교 치의학대학원 석박사 통합 과정 수료 (교정학)
- 미국 UCSF(University of California San Francisco), UOP(University of the Pacific) 치과교정과 교환 연수
- 세계교정치과연맹 (WFO) Fellowship
- 미국 교정학회 (AAO) 정회원
- 인비절라인 교육 이수
- 연세대학교 치과대학 대한치과의사협회장상 수상
- 대한치과교정학회(KAO) 전공의학술대회 우수 증례
- 대만국제교정학회 한국대표 선발
- 대만국제교정학회(TAO), 아시아퍼시픽교정학회 (APOS) 구연부분 우수 증례상
- 연세대학교 치과대학 교정과학교실 우석 우수전공의상
자문의사

최영진
자문의사현) 중앙대 광명병원 구강악안면외과 교수
현) 서울아산병원 외래교수
- 울산대학교 대학원 치의학석사
- 원광대학교 치과대학 졸업
- 서울대학교 치과병원 인턴
- 서울아산병원 구강악안면외과 전공의
- 치과구강악안면외과 전문의(보건복지부 인정)
- 치과통합치의학과 전문의(보건복지부 인정)
- 대한악안면성형재건외과 인정의
- 대한구강악안면외과학회 정회원
- 대한양악수술학회 준회원
- SCI논문 공동1저자(J Craniomaxillofac surgery)
- 전)청양 보건의료원 치과 과장
SLOGAN
우리가족 치과 주치의,
온아치과입니다.
가족을 대하는 마음으로
정직하고 양심적인 진료만 하겠습니다.
온아치과의 5가지 약속
정직하게 진단하여 과잉진료하지 않겠습니다.
항상 치아를 살리기 위해 연구하겠습니다.
놓치는 부분이 없도록 꼼꼼하게 치료하겠습니다.
아프지 않도록 환자를 배려하겠습니다.
소독된 기구와 장비로 청결하게 진료하겠습니다.
연세온아치과가
특별한 이유
디지털 시설과
전문 의료진
현직 외래교수 포함 전문의 원장 5인이
디지털 설비에서 협진합니다









연세대학교 임상지도 외래교수 임명증

김유성 대표원장

김진형 대표원장
유명 대학병원
공식 지정 협력 병원
대학병원 치료 후 본원에서 사후관리,
각종 임상 케이스 공유 등 긴밀한 협력
분당서울대학교병원

연세세브란스병원

아주대학교병원
중앙대학교병원

단국대학교병원
활발한 학술 활동
대학교 교수님들과 교류하고 레지던트를 지도하며
최신 임상 데이터와 연구 동향을 꾸준히 파악합니다

학생 임상 지도 (김유성 원장)

학생 임상 지도 (김진형 원장)

제89회 대한치과보철학회 학술대회 발표
풍부한 임상 경험
학술 활동과 교육을 병행하며 꾸준히 임상 경험을 쌓아가고 있습니다.
최신 연구 동향 파악
실제 대학교 교수님들과 교류하고 레지던트들을 지도하면서 최신 임상 데이터나 연구 동향을 꾸준히 확인합니다.
임플란트 식립 관련 특허 출원
임플란트 연구에 진심입니다.
더 나은 치료를 위해 끊임없이 연구합니다.

치과용 스테이플러 추가 출원 중

치과의사가 알려주는
진짜 안전한 치과치료 이야기
국민 구강건강을 위한 도서 출판
올바른 치과 상식을 전파합니다
“환자분들이 치과에 대한 두려움 없이
올바른 정보를 알고 안심하고 치료받으셨으면 합니다”
- 김유성 대표원장
365일 진료
평일 야간진료
원장이 많고 병원이 크기 때문에 가능합니다
평일
야간진료
주말/공휴일
정상진료
야간이나 주말에도
다른 의료진이 아닌
대표원장들이 직접 진료합니다
병원 전경

연세온아치과병원
쏠스퀘어 건물 2층
오시는 길
경기도 용인시 기흥구 구성동 솔스퀘어 2층
다이소 용인구성점 맞은편
구성역에서: 좌회전 → 다이소 지나 우회전
이마트 트레이더스에서: 1km 직진
상현역에서: 우회전 → 수지우체국 지나 직진 4km
기흥구청에서: 좌회전 → 구성삼거리 지나 우회전 2.4km
신갈역에서: 좌회전 → 기흥로 직진 2.2km
기흥역에서: 직진 → 기흥로 따라 4km
마북동에서: 좌회전 → 이마트 트레이더스 방면 2km
보라동에서: 우회전 → 기흥로 직진 5km
동백역에서: 좌회전 → 백현로 따라 3.5km
언남동에서: 우회전 → 이마트 트레이더스 방면 1.5km
보정역에서: 좌회전 → 수지IC 방면 2km
수지IC에서: 구성 방면 출구 → 직진 1.5km
편안한 주차 공간 완비
솔스퀘어 지하 1~5층 주차장 이용

※ 데스크에서 차량번호 등록 필수
지하 2층, 4층은 엘리베이터가 없습니다. (지하 1, 3, 5층 이용 권장)
연세온아치과는 고객님의 편의를 최우선으로 생각합니다.
편안한 주차 환경부터 쾌적한 진료 공간까지,
고객 중심의 치과를 만들어갑니다.
진료시간 안내
편하신 방법으로 예약 문의주세요
다양한 치료에 대한 설명을
영상으로 확인하세요
연세온아치과 대표원장의 치과 이야기

의학채널 비온뒤 출연
여에스더, 홍혜걸 박사의 건강 프로그램

노년기 틀니해방일지
all on x(올온엑스)
연세온아치과병원 보철과 김유성
김유성 대표원장이
전체임플란트 치료 전문가로 출연하여
올온엑스(All-on-X) 치료를 직접 설명합니다
자주 묻는 질문
스케일링만 받으면 충분하지 않나요?
스케일링은 치석 제거의 첫 단계입니다. 하지만 잇몸질환이 진행된 경우, 특수장비로 잇몸 깊숙한 세균까지 제거하는 정밀 치료가 필요합니다. 6개월 간격으로 잇몸치료를 받으시면 자연치아를 오래 보존할 수 있습니다.
잇몸치료가 아프다던데 괜찮을까요?
걱정하지 마세요. 연세온아치과는 다단계 통증완화 시스템을 갖추고 있습니다. 많은 환자분들이 "치과 치료가 이렇게 편할 수도 있구나"라고 놀라워하십니다. 불편함 없이 치료받으실 수 있도록 최선을 다합니다.
얼마나 자주 받아야 하나요?
기본 스케일링은 연 1회(보험 적용), 잇몸치료는 6개월마다 받으시는 것이 이상적입니다. 잇몸 상태가 심한 경우 3개월 간격으로 관리하시면 더욱 효과적입니다. 정기적인 관리로 임플란트 없이도 자연치아를 평생 사용하실 수 있습니다.
보험 적용은 어떻게 되나요?
스케일링은 연 1회 건강보험이 적용됩니다. 잇몸치료가 필요한 경우에는 보험 적용을 받으실 수 있으며, 나누어서 진행됩니다. 자세한 보험 적용 범위는 상담을 통해 안내해드립니다.
왜 다른 치과는 잇몸치료를 안 하려고 하나요?
솔직히 말씀드리면, 잇몸치료보다 임플란트가 수익이 더 좋기 때문입니다. 또한 잇몸치료 후 결국 발치하게 되면 환자분들의 불만이 생길 수 있어 많은 치과가 꺼립니다. 하지만 연세온아치과는 자연치아 보존을 최우선으로 하며, 전문의 협진 시스템으로 체계적인 잇몸 관리를 진행합니다.




