REAL CASE
발치 권유받은 환자분의
치아를 치료해 지켜냈습니다
다른 병원에서 발치를 권유받았으나
끝까지 포기하지 않아 보존에 성공했습니다
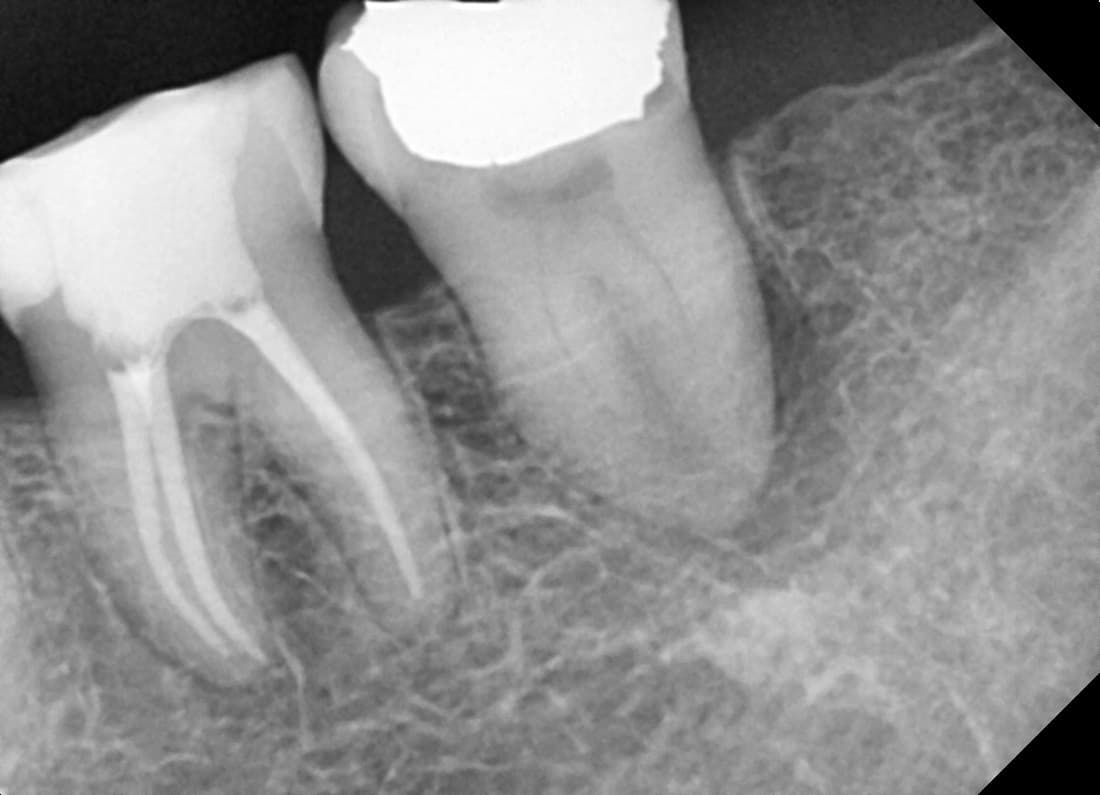
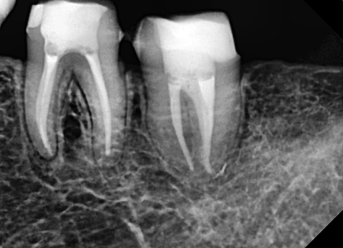
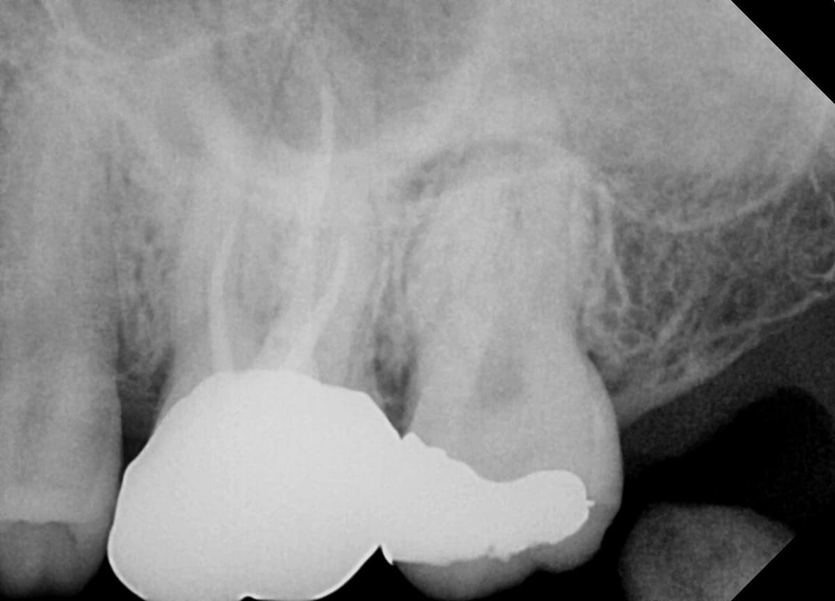
치근단병소 치유
뿌리 끝 염증으로 발치 권유받은 어금니

Before

After
신경치료 1년 2개월 후 치근단병소 완전 치유
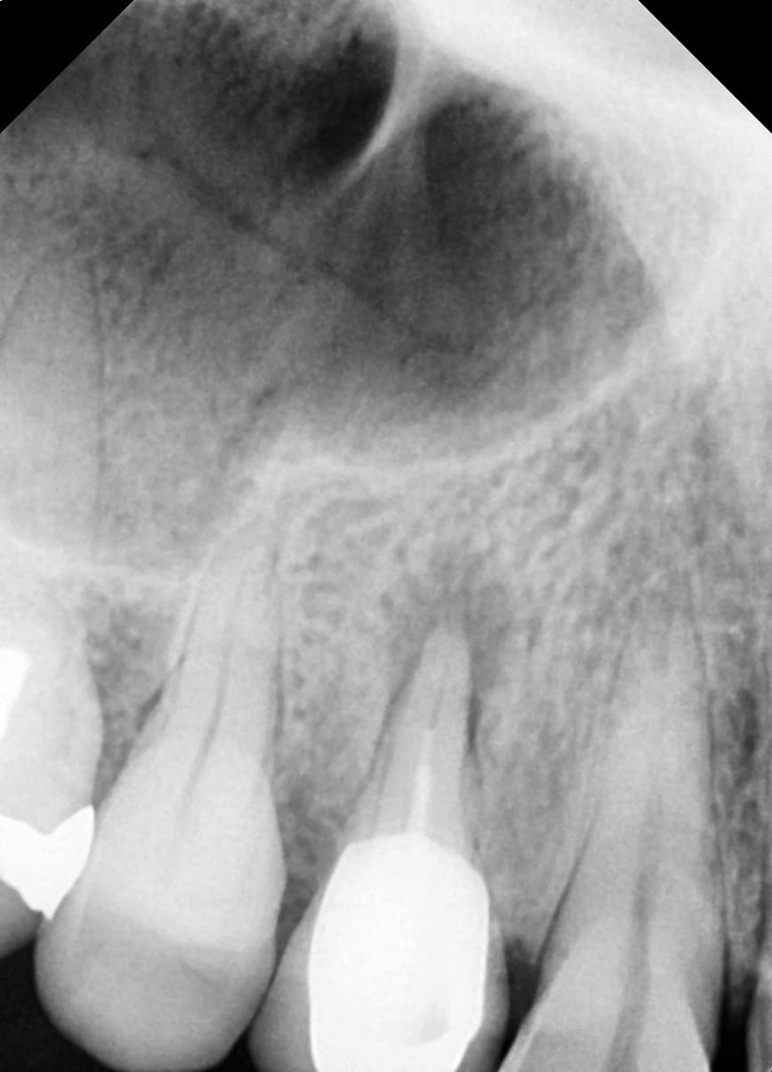
치근단병소 치유
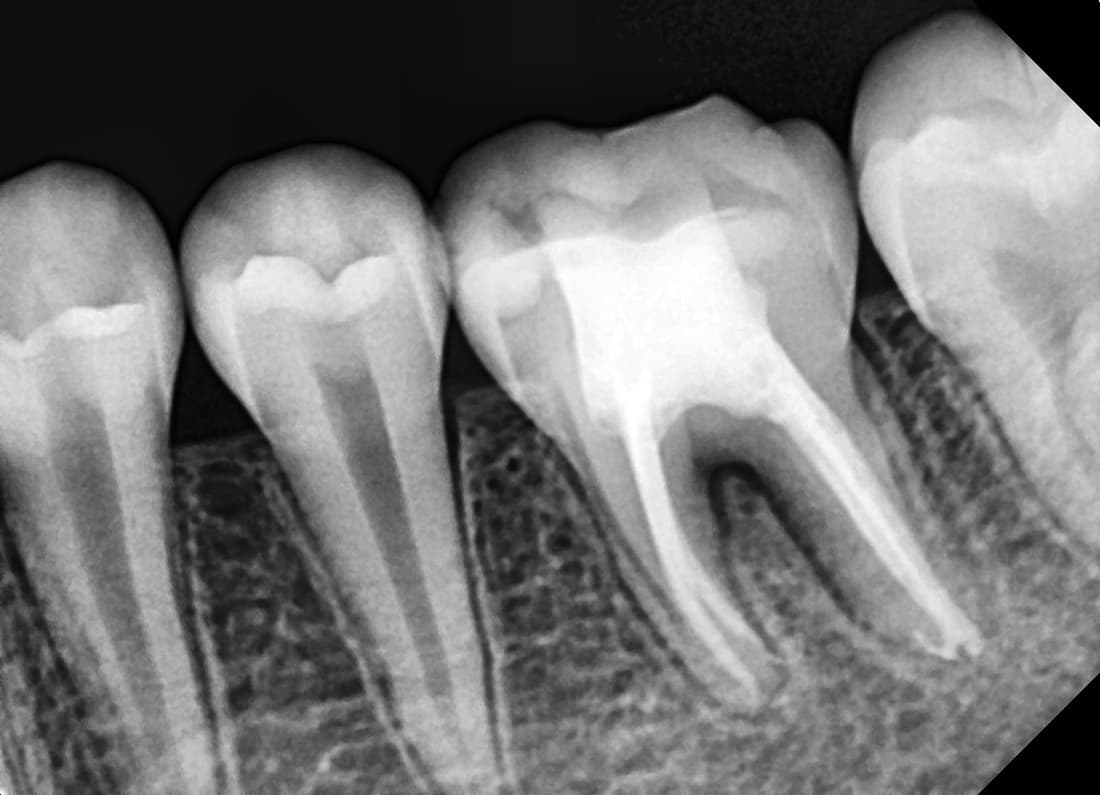
심한 염증으로 고름이 찬 어금니

Before

After
치료 6개월 후 치근단병소 완전 치유
재신경치료
다른 병원 치료 후 재발한 어금니

Before

After
재신경치료로 추가 근관을 찾아 1년 9개월 후 완치
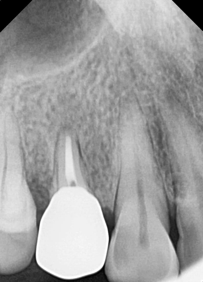
치근단절제술
뿌리 끝까지 염증이 번진 앞니

Before

After
재신경치료 및 치근단절제술 후 병소 완치
"
임플란트 말고
살릴 수 있는 방법 없을까요?
다른 곳에선 무조건 뽑자고 하더라구요...
연세온아는 3명의 전문의가
함께 가능성을 찾습니다
한 명의 의사가 놓칠 수 있는 부분을
각 분야 전문의가 함께 검토합니다
통합치의학 전문의
전체 치아 상태 진단
충치가 다른 치아에 미치는 영향까지 종합 판단
보철과 전문의
치아 수복 계획
살린 치아가 오래 쓸 수 있도록 보철 설계
교정과 전문의
교합 분석
치료 후 씹는 힘의 균형까지 고려한 치료
3명의 전문의가 함께 보면
살릴 수 있는 치아가 더 많아집니다
발치는 최후의 수단입니다.
협진으로 가능성을 끝까지 찾아드립니다.
TREATMENT
충치 · 신경 치료
자연 치아를 최대한 살리는
치료 과정을 안내합니다
충치 치료
초기 충치 치료
Q-ray 진단으로 숨은 충치까지 발견
레진 치료
자연 치아와 동일 색상으로 심미적 복원
인레이 · 온레이
넓은 충치도 발치 없이 정밀 보존 치료
신경 치료
통증 완화
심한 치통 제거로 편안한 일상 회복
치아 보존
발치 없이 자연 치아 살리기
RF 플라즈마 멸균
3차원 근관 멸균으로 재발률 감소
DIAGNOSIS SYSTEM
단순히 치아만
보지 않습니다
전신 건강 상태와 미래 예측까지 고려한
통합적인 구강 관리 솔루션을 제공합니다
네 가지 데이터 기반 진단 시스템
CBCT 3D 진단
인접면 충치, 치주염 등을 3차원 영상으로 정확하게 확인
Q-ray 정밀 진단
CBCT로 확인하기 어려운 초기 충치, 치아 Crack까지 검출
Q-ray 치태 분석
플라그 수준을 수치화해 치료 필요성을 객관적으로 설명
구강 미생물 검사
향후 발생 가능한 구강질환 요인을 미리 파악
"치료 결정의 모든 과정이 논리적으로 제시되기에,
환자 스스로 신뢰하게 됩니다."
Q-RAY SYSTEM
Q-ray 진단 시스템

큐레이캠프로
전면(상하악)을 촬영하여 구강상태의 전반적 점검 실행

큐레이펜씨
개별 치아를 정밀하게 촬영하여 상태를 관찰하고 진행 경과 관찰

큐레이뷰프로
치료 중 구강 상태를 동시적으로 확인하며 치료의 정확성을 높임
AI 영상 분석으로 구강질환 예측
영상 보정
ISP 기반 정밀 보정
영상 분석
AI 기반 자동 추출
진단
치아 상태 자동 분류
데이터 관리
클라우드 EHR 연동
정확한 진단이 정확한 치료의 시작입니다
과거-현재-미래를 모두 보는 통합 진단
PLASMA ENDO
신경치료 재발,
플라즈마로 줄입니다
고주파 에너지로 근관 내 세균을
3차원적으로 완전 멸균합니다

Easy ENDO RF 플라즈마 시스템
고주파 에너지로 근관 내 세균을 3차원적으로 멸균
왜 플라즈마 엔도인가요?
Root Canal은 3차원적 구조라 파일이 도달하기 어렵습니다. 특히 Micro Canal, Accessory Canal, Dentinal Tubule에 잔존하는 유기물과 세균은 기존 방식으로 제거가 쉽지 않습니다. RF 플라즈마는 고주파 에너지로 이런 부위까지 효과적으로 멸균합니다.
3차원 멸균
파일이 닿지 않는 미세 근관, Accessory Canal까지 멸균
효과적인 지혈
출혈이 많은 경우에도 신속한 지혈과 응고 가능
재발률 감소
잔존 유기물과 세균을 완전 제거해 재발 방지
연세온아치과병원은 이렇게 다릅니다
치료방식
일반 치과
연세온아
기계적 신경 제거
사용
사용
화학적 세척
사용
사용
플라즈마엔도
미사용 or
단독 사용
기존방식 +
플라즈마 병합
치료 철학
효율 중심
완성도 중심
"세균이 숨을 곳조차 남기지 않기 위해,
우리는 모든 방법을 병행합니다."
SCIENTIFIC DIAGNOSIS
충치, 더 안생기도록
관리하세요
재발 방지와 다른 치아 예방까지
국내 치과 최초 NGS 미생물 검사 도입
🧬 글로벌 유전체 분석 기업 마크로젠 협력

NGS 차세대 염기서열 분석
입속 700종 이상의 미생물을 정밀 분석하여
충치 유발균을 사전에 파악합니다
왜 충치에 미생물 검사를?
충치는 단순히 "양치를 안 해서" 생기는 게 아닙니다. 뮤탄스균 등 충치 유발균이 많은 구강 환경에서는 치료를 해도 다시 생기기 쉽습니다. 원인균을 알아야 치료 후 관리도, 다른 치아 예방도 가능합니다.

개인별 맞춤 분석 리포트 제공
검사 후 2~3주 내 상세 결과 안내

구강 건강이 전신 건강을 좌우합니다
입속 유해균은 혈관을 타고 전신으로 퍼져
심혈관 질환, 당뇨, 치매 등 다양한 질환과 연관됩니다
구강 미생물과 전신 건강의 연관성
최신 의학 연구에 따르면 치주질환균은 심장병, 뇌졸중, 당뇨병과 밀접한 관련이 있습니다. 구강 미생물 검사로 유해균을 조기에 발견하면 전신 건강까지 예방할 수 있습니다.
이런 분들께 추천드립니다
충치가 자주 재발하는 분
충치 유발균 종류와 양을 정밀 분석
충치 치료 후 관리가 필요한 분
치료 부위 주변 재발 방지를 위한 모니터링
다른 치아에 충치가 생기지 않게 예방하고 싶은 분
구강 환경 개선으로 새로운 충치 예방
검사는 간단합니다
타액 채취
3분 소요
NGS 분석
마크로젠
결과 상담
2~3주 후
충치 치료, 그 다음이 중요합니다
재발 방지와 예방까지 책임집니다
ONE-DAY TREATMENT
24시간 완성
디지털 인레이 시스템
디지털 스캔과 원내기공소로
빠른 치료 완성을 지향합니다

정밀한 디지털 스캔
구강 스캐너로 치아를 정밀하게 3D 스캔하여
불편한 본뜨기 과정 없이 더욱 정확하고
편안한 치료가 가능합니다

원내 기공연구소 운영
외부 기공소 의뢰 시 최소 5-7일이 소요되지만
원내 기공소에서 직접 제작하여
빠르고 정밀한 보철물 완성이 가능합니다
원데이 인레이의 장점
빠른 치료 완성
1회 방문으로 치료가 완료되어 바쁜 일상을 방해하지 않습니다
정밀한 보철물
디지털 스캔과 밀링머신으로 완벽하게 맞춤 제작됩니다
즉시 사용 가능
임시 보철물 없이 바로 일반 식사가 가능합니다
바쁜 일상, 치료 때문에 멈추지 마세요
하루 만에 자연치아처럼 완성됩니다
DENTAL PHOBIA CARE
치과가 무서우신가요?
마음부터 이해합니다
김유성 대표원장 × 정신건강의학과 전문의
공포증 환자를 위한 안전한 치과 치료 시스템
많은 치과에서 이렇게 말합니다
"자, 진정하세요. 하다 보면 괜찮아져요"
"수면치료 받으시죠. 비용은 20~30만원입니다"
너무 소극적이거나, 너무 적극적인 대응입니다.
수면치료는 비용 부담도 크고,
전신질환이 있는 환자에게는 위험할 수 있습니다.
연세온아치과만의
공포증 단계별 맞춤 케어
공포증 스케일 평가
단순 설문이 아닌 환자가 편안하게 답변할 수 있는 공감형 질문으로 정확한 단계 평가
심리적 안정 콘텐츠
정신건강의학과 전문의와 함께 제작한 심리 안정 영상 + Tell-Show-Do 요법 적용
약물 보조 치료
알프라졸람 등 안전한 진정제를 근거기반으로 처방하여 불안을 완화
수면치료 적용
전신질환 문진 후 안전성 확보, 정밀 기기로 수면약물 용량 실시간 조절
연세온아치과의 치과공포증 평가 설문지
치료 전 환자의 불안 수준을 정확히 파악하기 위한
5문항 간이 평가를 진행합니다

개인의 심리 상태에 따라 치료 방식을 조정합니다
Tell-Show-Do 요법
설명만으로 불안이 사라지지 않습니다
단계별로 기구를 직접 눈으로 보고, 만지고 함께합니다
Tell
설명하기
Show
보여주기
Do
체험하기
편안한 치료를 위한 전용 공간

긴장 완화 수술 대기실
편안한 환경에서 마음을 가다듬을 수 있는 전용 대기 공간

전용 회복실 운영
수면마취 후 편안하게 회복하실 수 있는 독립된 회복 공간
의식하진정요법이란?
약간 졸린 듯한 상태에서 시술을 받게 되고, 시술하는 동안 일어난 일들을 잘 기억하지 못하게 되는 치료법입니다.
의식이 있는 상태에서 편안하게 긴장상태를 풀어주기 때문에 치료 중에도 자신의 상태를 표현하고 반응할 수 있어 그만큼 안전합니다.
안전성
의식이 유지된 상태에서 시술
전문의가 혈압, 맥박, 산소포화도 체크
세계적으로 인정된 약물 사용
전신마취가 아니므로 후유증과 부작용이 현저히 낮음
언제든 깨어날 수 있는 역전약물 구비
편안함
간단한 주사로 진정요법 가능
시술이 끝나면 편안한 느낌만 남음
편안하고 안정된 기억만 남아 치과치료에 자신감
비용 부담이 적고 간단하게 시술
연세온아치과만의
수면마취 시스템
전문 의료진 직접 집도
마취 경험이 풍부한 치과의사가 직접 시행
체계적 사전 문진
전신 질환, 복용 약물, 호흡계 건강 등 철저히 점검
안전한 약물 사용
국제 기준 부합 약제, 회복 빠르고 부작용 적음
전 과정 모니터링
산소포화도, 심박수 등 실시간 측정으로 안전 관리
치료 후 회복실 관리
안정된 회복실에서 충분히 휴식 후 귀가
연세온아치과의 Infusion 방식
일반 치과 (Bolus 방식)
한꺼번에 약물을 주입하여 마취심도 조절이 어렵고 문제 가능성 있음
연세온아치과 (Infusion 방식)
KALS 수료 원장이 실시간으로 환자의 마취심도를 파악하고 약물주입량 조절
KALS란?
Korean Advanced Life Support
대한심폐소생협회에서 인증하는 한국형 전문소생술 자격으로, 의사·치과의사만 취득 가능한 응급상황 대응 전문 교육입니다.

고가의 Infusion 전용 장비로 안전한 수면마취
"치과가 무서운 당신,"
연세온아치과에서
마음부터 이해받고, 천천히 이겨내세요
SPECIALIZED TREATMENT
발치? 아직 이릅니다
자연치아를 끝까지
정밀 진단과 전문 치료로
자연치아를 최대한 살립니다
연세온아의 자연치아 보존 시스템
Q-ray로 숨은 문제까지 정밀 진단
RF 플라즈마로 근관 내 완전 멸균
5인 전문의 협진으로 최적 치료 결정
자연치아 보존을 위한 전문 치료
신경치료, 재신경치료
RF 플라즈마 멸균 시스템으로 근관 내 세균을 3차원적으로 완전 멸균하여 재발률을 줄입니다.
치수 재생술
성장이 멈춘 영구치의 신경을 되살려 치아 뿌리가 계속 자라게 하는 어린이 신경치료입니다.
외상 치아 처치
5인 전문의 협진으로 외상 후 치아의 예후를 정확히 진단하고 신속하게 대응합니다.
치근단 절제술
발치 대신 치아 뿌리의 염증만 제거하여 자연치아를 최대한 보존하는 치료입니다.
치아 재식술
치아를 발치 후 염증 원인을 제거하고 다시 심어 자연치아를 살리는 고난도 치료입니다.
"자연치아를 살리는 것이
치과의사의 사명입니다"
1개라도 더 살리기 위해 최선을 다합니다
COMPARISON
연세온아는
이렇게 다릅니다
같은 충치, 신경 치료라도
결과는 다를 수 있습니다
비교 항목
일반 치과
연세온아
진단 방식
육안 + X-ray
Q-ray + CBCT + 미생물검사
신경치료 멸균
기계적 + 화학적
+ RF 플라즈마 멸균
보철물 제작
외부 기공소 (5-7일)
원내 기공소 (당일 가능)
치료 철학
효율 중심
자연치아 보존 중심
협진 시스템
담당의 1인
5인 전문의 협진
연세온아만의 차별점
정밀 진단 시스템
Q-ray로 육안으로 보이지 않는
초기 충치와 Crack까지 발견합니다
RF 플라즈마 멸균
파일이 닿지 않는 미세 근관까지
3차원 완전 멸균으로 재발률 감소
5인 전문의 협진
복잡한 케이스도 각 분야 전문의가
함께 최적의 치료 방향을 결정합니다
충치, 신경 치료도 어디서 받느냐에 따라
결과와 예후가 달라집니다
연세대 출신 전문의 5인 협진
연세온아치과
전문 의료진

김유성
대표원장 · 병원장현) 연세대학교 임상지도 교수
보건복지부 인증 치과보철과 전문의
보건복지부 인증 통합치의학과 전문의
- 현)연세온아치과병원 병원장
- 연세대학교 치과대학 졸업
- 연세대학교 치과병원 원내진료실
- 연세대학교 치과병원 인턴
- 아주대학교 치과병원 레지던트
- 아주대학교 치주임플란트보철과 석사
- 치과보철과 인정의(보건복지부 인정)
- Taiwan Bio tech 자문의사
- 임플란트 식립관련 특허 제 10-2537546 호
- 치과용 스테이플러 출원 중
- Advanced Cardiac Life Support provider(ACLS)
- 전문심폐소생술 자격증
- 대한치과보철학회 디지털마스터 코스 수료
- UCLA 치과병원 externship
- 측두하악관절자극요법 인증기관
- 턱관절장애교육 수료
- 턱관절장애 교육연구회 정회원
- 대한치과보철학회 정회원
- 대한구강악안면임플란트학회 정회원
- 대한심미치과학회 정회원
- 대한치과보존학회 정회원
- 전)보령하나플란트 부원장
- 전)에이스치과 부원장
- 전)안산연세치과 부원장

김진형
대표원장현) 연세대학교 임상지도 교수
보건복지부 인증 통합치의학과 전문의
- 현)연세온아치과병원 대표원장
- 연세대학교 치과대학 졸업
- 연세대학교 치과병원 원내진료실
- Taiwan Bio tech 자문의사
- 대한공중보건의사협회 치과대표
- 측두하악관절자극요법 인증기관
- 턱관절장애교육 수료
- 턱관절장애 교육연구회 정회원
- 대한치과보철학회 정회원
- 대한구강악안면임플란트학회 정회원
- 대한심미치과학회 정회원
- 대한치과보존학회 정회원
- 유펜엔도 코스 수료
- 오스템 마스터 코스 수료
- 전)질병관리청 구강검진의
- 전)동부구치소 의료과 치과과장
- 전)스마일365 부원장
- 전)킴스플란트 부원장

김태원
대표원장보건복지부 인증 통합치의학과 전문의
- 연세대학교 치과대학 졸업
- 연세대학교 치과병원 원내진료실
- Cre'ad Endo Course 수료
- 오스템 AIC Implant Course 수료
- 턱관절장애 연수회 수료
- 턱관절장애 교육연구회 정회원
- 대한통합치과학회 정회원
- 대한심미치과학회 정회원
- 전)수치과보철과치과의원 부원장
- 전)중앙치과의원 부원장
- 전)광교365리움치과병원 대표원장

김태욱
원장서울대학교 치의학 석사
- 서울대학교 치의학대학원 졸업
- 서울대학교 치과병원 종합진료실 근무
- 측두하악관절요법 인증의
- 국민건강보험공단 인증 구강검진의
- 유펜 Endodontics Course
- 오스템 AIC Implant Master Course 수료
- 덴티스 CTS Implant Gold Course 수료
- ATC 심미보철 연구회 회원
- 미국심장협회 BLS(Basic Life Support) provider
- 전)서울쿤스트치과의원 부원장

류승민
교정과 대표원장보건복지부 인증 치과교정과 전문의
연세대학교 치과대학 차석 졸업
- 연세대학교 치과대학병원 인턴 / 교정과 레지던트 수료
- 대한치과 교정학회 인정의 및 정회원
- 연세대학교 교정연구회 (세정회) 정회원
- 연세대학교 치의학대학원 석박사 통합 과정 수료 (교정학)
- 미국 UCSF(University of California San Francisco), UOP(University of the Pacific) 치과교정과 교환 연수
- 세계교정치과연맹 (WFO) Fellowship
- 미국 교정학회 (AAO) 정회원
- 인비절라인 교육 이수
- 연세대학교 치과대학 대한치과의사협회장상 수상
- 대한치과교정학회(KAO) 전공의학술대회 우수 증례
- 대만국제교정학회 한국대표 선발
- 대만국제교정학회(TAO), 아시아퍼시픽교정학회 (APOS) 구연부분 우수 증례상
- 연세대학교 치과대학 교정과학교실 우석 우수전공의상
자문의사

최영진
자문의사현) 중앙대 광명병원 구강악안면외과 교수
현) 서울아산병원 외래교수
- 울산대학교 대학원 치의학석사
- 원광대학교 치과대학 졸업
- 서울대학교 치과병원 인턴
- 서울아산병원 구강악안면외과 전공의
- 치과구강악안면외과 전문의(보건복지부 인정)
- 치과통합치의학과 전문의(보건복지부 인정)
- 대한악안면성형재건외과 인정의
- 대한구강악안면외과학회 정회원
- 대한양악수술학회 준회원
- SCI논문 공동1저자(J Craniomaxillofac surgery)
- 전)청양 보건의료원 치과 과장
연세온아치과가
특별한 이유
디지털 시설과
전문 의료진
현직 외래교수 포함 전문의 원장 5인이
디지털 설비에서 협진합니다









연세대학교 임상지도 외래교수 임명증

김유성 대표원장

김진형 대표원장
유명 대학병원
공식 지정 협력 병원
대학병원 치료 후 본원에서 사후관리,
각종 임상 케이스 공유 등 긴밀한 협력
분당서울대학교병원

연세세브란스병원

아주대학교병원
중앙대학교병원

단국대학교병원
활발한 학술 활동
대학교 교수님들과 교류하고 레지던트를 지도하며
최신 임상 데이터와 연구 동향을 꾸준히 파악합니다

학생 임상 지도 (김유성 원장)

학생 임상 지도 (김진형 원장)

제89회 대한치과보철학회 학술대회 발표
풍부한 임상 경험
학술 활동과 교육을 병행하며 꾸준히 임상 경험을 쌓아가고 있습니다.
최신 연구 동향 파악
실제 대학교 교수님들과 교류하고 레지던트들을 지도하면서 최신 임상 데이터나 연구 동향을 꾸준히 확인합니다.
임플란트 식립 관련 특허 출원
임플란트 연구에 진심입니다.
더 나은 치료를 위해 끊임없이 연구합니다.

치과용 스테이플러 추가 출원 중

치과의사가 알려주는
진짜 안전한 치과치료 이야기
국민 구강건강을 위한 도서 출판
올바른 치과 상식을 전파합니다
“환자분들이 치과에 대한 두려움 없이
올바른 정보를 알고 안심하고 치료받으셨으면 합니다”
- 김유성 대표원장
365일 진료
평일 야간진료
원장이 많고 병원이 크기 때문에 가능합니다
평일
야간진료
주말/공휴일
정상진료
야간이나 주말에도
다른 의료진이 아닌
대표원장들이 직접 진료합니다
병원 전경

연세온아치과병원
쏠스퀘어 건물 2층
오시는 길
경기도 용인시 기흥구 구성동 솔스퀘어 2층
다이소 용인구성점 맞은편
구성역에서: 좌회전 → 다이소 지나 우회전
이마트 트레이더스에서: 1km 직진
상현역에서: 우회전 → 수지우체국 지나 직진 4km
기흥구청에서: 좌회전 → 구성삼거리 지나 우회전 2.4km
신갈역에서: 좌회전 → 기흥로 직진 2.2km
기흥역에서: 직진 → 기흥로 따라 4km
마북동에서: 좌회전 → 이마트 트레이더스 방면 2km
보라동에서: 우회전 → 기흥로 직진 5km
동백역에서: 좌회전 → 백현로 따라 3.5km
언남동에서: 우회전 → 이마트 트레이더스 방면 1.5km
보정역에서: 좌회전 → 수지IC 방면 2km
수지IC에서: 구성 방면 출구 → 직진 1.5km
편안한 주차 공간 완비
솔스퀘어 지하 1~5층 주차장 이용

※ 데스크에서 차량번호 등록 필수
지하 2층, 4층은 엘리베이터가 없습니다. (지하 1, 3, 5층 이용 권장)
연세온아치과는 고객님의 편의를 최우선으로 생각합니다.
편안한 주차 환경부터 쾌적한 진료 공간까지,
고객 중심의 치과를 만들어갑니다.
진료시간 안내
편하신 방법으로 예약 문의주세요
자주 묻는 질문
다른 곳에서 발치하라는데 살릴 수 있나요?
네, 가능성이 높습니다. 연세온아치과는 정밀 진단 장비로 꼼꼼히 진단합니다. 일반 치과에서 보이지 않던 살릴 방법을 찾을 수 있으며, 자연치아를 살리는 것이 저희의 사명입니다. 정밀 진단 후 최선의 방법을 안내해 드립니다.
신경치료, 아프지 않나요?
최신 통증 완화 마취 시스템으로 통증을 최소화합니다. 불안하신 분은 의식하진정요법(수면마취)으로 편안하게 시술받으실 수 있습니다. 정밀한 치료로 재발과 부작용을 최소화하며, 치료 후 지속적으로 관리해 드립니다.
충치 치료, 시간이 오래 걸리나요?
초기 충치는 레진 치료로 빠르게 완료되며, 넓은 충치는 인레이 시스템으로 빠른 치료가 가능합니다. 신경치료가 필요한 경우 2-3회 내원이 필요하지만, 정밀 치료로 치료 횟수를 최소화합니다. 개인의 구강 상태에 따라 정확한 기간을 안내해 드립니다.
충치 치료, 보험 적용되나요?
네, 대부분의 충치 치료는 건강보험이 적용됩니다. 레진 치료, 신경치료, 크라운 등 기본 치료는 보험 혜택을 받으실 수 있으며, 인레이/온레이는 본인 부담이 발생할 수 있습니다. 초진 시 정확한 비용과 보험 적용 여부를 상세히 안내해 드립니다.

