施術 1,000+件、
ホワイトニング実績多数
しみない安全なホワイトニング、
効果的に体験してください
10
年+
ホワイトニング専門経歴
1,000
件+
施術ケース
4.9
/ 5.0
患者満足度
Naver, Kakao, Google マップ基準
“
あなたの歯は
大丈夫ですか?
以下のような習慣が続くと、
歯は黄色く変色してしまいます
コーヒー
毎日飲むコーヒーが 歯を黄色くさせます
喫煙
ニコチンとタールが 歯の変色の主な原因です
ワイン
赤ワインのタンニンが 歯に着色を引き起こします
VIDEO GUIDE
ホワイトニングのすべて
動画でチェック
動画準備中
PROFESSIONAL WHITENING
歯科医院専門ホワイトニング
過酸化水素ホワイトニング
医療用の高濃度ホワイトニング剤で
安全で効果的なホワイトニングを体験してください
Aladdin + W-Gel プロフェッショナルシステム
米国FDA承認の専門医用歯のホワイトニングシステムで
スピーディーかつ安全なプレミアム体験を

W-Gel™ マルチファンクショナルジェル
高粘度シリンジタイプ: 精密な塗布と液だれ防止設計
10分 x 3回プロトコル: 科学的に設計された最適な適用時間
爽やかなオレンジの香り: 施術中の不快感を最小限に

Aladdin® Tooth Bleaching System
トリプル5W LED搭載: 3つの高出力LEDで迅速かつ効果的
3段階の光量個別制御: エリアごとの強度調節が可能
奥歯特化技術: 犬歯・小臼歯部の影まで効果的に改善
無騒音冷却システム: 快適な環境とLEDの寿命延長
施術の原理
医療用高濃度過酸化水素(15%)がエナメル質を透過し、象牙質内部の着色分子を酸化・分解します。
この過程で着色物質が無色の小さな分子に変換され、自然に白い歯になります。

施術の流れ
1
歯茎保護剤の塗布 (ダメージ防止)
2
高濃度ホワイトニング剤の塗布
3
LED光照射 (15-20分)
4
2-3回繰り返し (即日完了)
5
フッ素塗布で仕上げ
歯の削削 ZERO
エナメル質の損傷なし
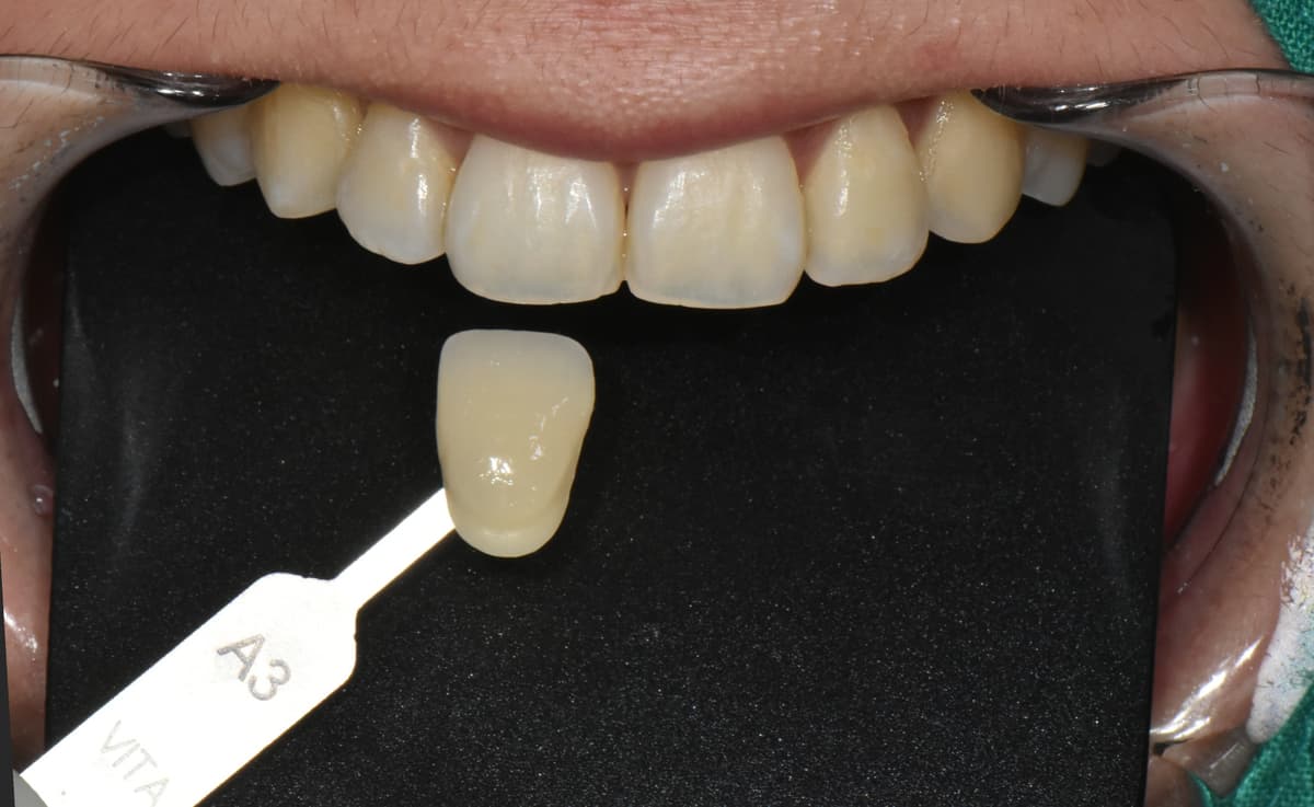
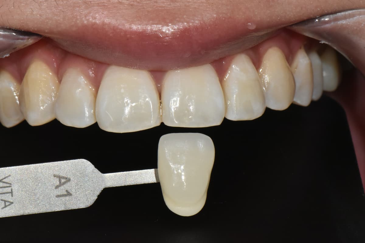
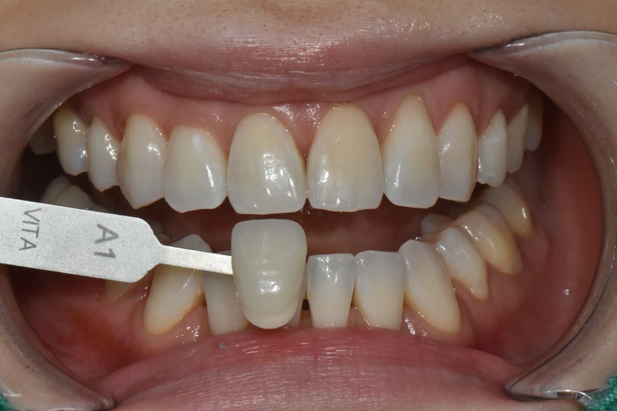
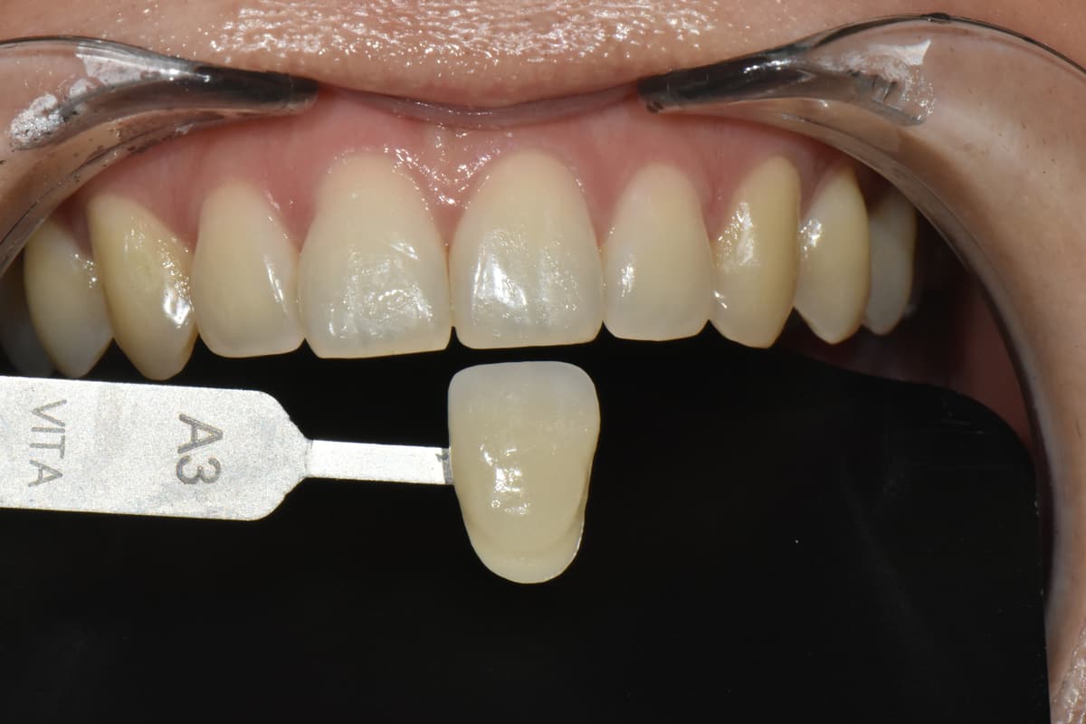
即効性のある効果
施術直後に2-8段階トーンアップ
自然な色合い
本来の歯の美しさを引き出す
なぜ専門家によるホワイトニングが必要なのですか?
世界中の歯科医師が認めた安全性
ホワイトニングは、世界中の歯科医師が認める最も安全な歯の治療方法の一つです。多くの研究と臨床で安全性が立証されており、歯科医師のモニタリング下で行われるオフィスホワイトニングは、現在まで大きな副作用は報告されていません。
オフィスホワイトニング
セルフホワイトニング
15% 高濃度
医療用承認済み
1-4% 低濃度
効果が限定的
一日で完了
3-4段階アップ
4週間以上
緩やかな変化
事前の口腔検診
+ フッ素塗布
自己管理
歯茎の火傷リスク
体系的な副作用管理
施術前の検診: 虫歯や歯周病を確認してから安全に
歯茎保護: 医療用保護剤で軟組織の損傷を100%予防
施術後のケア: フッ素塗布等で知覚過敏を最小限に
専門医のモニタリング: リアルタイムでの安全性確認
豊富な臨床経験
1,000件以上の実績に基づくノウハウ。着色の程度、敏感度、補綴物の状態を考慮した最適なプランを提案します。
よくある質問
PROFESSIONAL VS SELF
セルフホワイトニングと
歯科医院専門ホワイトニングの違い
歯科医院で使用するホワイトニング剤は、医薬品に分類される
高濃度過酸化水素を使用します。
歯茎に触れるとダメージを与える可能性があるため、専門家が
完璧な保護処置を行った上で施術するため、より安全で
即効性のある効果を実感いただけます。
セルフホワイトニング
低濃度ホワイトニング剤
一般品のため効果が限定的
緩やかな効果
数週間から数ヶ月かかる
安全性のリスク
誤用による歯茎損傷の可能性
ムラのある仕上がり
均一な白さになりにくい
オフィスホワイトニング
高濃度医薬品
専門用過酸化水素で強力な効果
即効性のある効果
1-3時間で確実な変化
万全の安全性
歯茎保護処置でダメージ防止
均一な白さ
専門家による精密な施術
COMPARISON
どちらの施術が
自分に合っていますか?
2つのオプションを比較してみてください
ホワイトニングオプションの比較
| 過酸化水素 ホワイトニング | ラミネート | |
|---|---|---|
| 施術時間 | 1-2時間 (即日完了) | 2-3回の来院 (1-2週間) |
| 持続期間 | 1-2年 (ケアにより延長) | 10-15年 (半永久的) |
| 歯の切削 | なし (0mm) | 最小限 (0.3mm) |
| 価格帯 | 約2-3万円 (全体) | 1本あたり 約5-8万円 |
| おすすめの方 | 自然な白さを 求める方 | 完璧な歯を 求める方 |
| 注意事項 | 24時間は 着色食品に注意 | 硬い食べ物 に注意 |
CASE STUDY
延世オンア歯科ホワイトニングの特別さ
実際の治療症例
1,000件以上の実績で証明された確かな効果
延世出身専門医5名
ヨンセオナ歯科
専門医療チーム

キム・ユソン
代表院長現) 延世大学臨床教授
補綴専門医(厚生労働省認定)
統合歯科専門医(厚生労働省認定)
- ヨンセオナ歯科病院 代表院長
- 延世大学歯学部卒業
- 延世大学歯科病院臨床実習
- 延世大学歯科病院インターン
- 亜洲大学歯科病院レジデント
- 亜洲大学 歯周インプラント補綴学修士
- 補綴専門医(厚生労働省認定)
- 台湾バイオテック顧問医師
- インプラント植立特許 第10-2537546号
- デンタルステープラー特許出願中
- ACLS(二次救命処置)プロバイダー
- 大韓補綴学会 デジタルマスターコース修了
- UCLA歯科病院エクスターンシップ
- 顎関節治療認定
- 顎関節障害教育研究会会員
- 大韓補綴学会会員
- 大韓口腔顎顔面インプラント学会会員
- 大韓審美歯科学会会員
- 大韓保存歯科学会会員

キム・ジンヒョン
院長現) 延世大学臨床教授
統合歯科専門医(厚生労働省認定)
- ヨンセオナ歯科病院 院長
- 延世大学歯学部卒業
- 延世大学歯科病院臨床実習
- 台湾バイオテック顧問医師
- 大韓公衆保健歯科医師会代表
- 顎関節治療認定
- 顎関節障害教育研究会会員
- 大韓補綴学会会員
- 大韓口腔顎顔面インプラント学会会員
- 大韓審美歯科学会会員
- 大韓保存歯科学会会員
- U-Penn根管治療コース修了
- Osstemマスターコース修了

キム・テウォン
院長統合歯科専門医(厚生労働省認定)
- 延世大学歯学部卒業
- 延世大学歯科病院臨床実習
- Cre'ad根管治療コース修了
- Osstem AICインプラントコース修了
- 顎関節障害研修修了
- 顎関節障害教育研究会会員
- 大韓統合歯科学会会員
- 大韓審美歯科学会会員

キム・テウク
歯科医師ソウル大学歯学大学院修士
- ソウル大学歯学大学院卒業
- ソウル大学歯科病院統合診療部
- 顎関節治療認定
- 国民健康保険公団口腔検診委員
- U-Penn根管治療コース
- Osstem AICインプラントマスターコース修了
- Dentis CTSインプラントゴールドコース修了
- ATC審美補綴研究会会員
- アメリカ心臓協会BLSプロバイダー

リュ・スンミン
矯正院長矯正専門医(厚生労働省認定)
延世大学歯学部(優秀卒業)
- 延世大学歯科病院インターン/矯正科レジデント
- 大韓矯正歯科学会認定医・会員
- 延世矯正研究会会員
- 延世大学大学院統合修士・博士課程(矯正学)
- UCSF & UOP矯正交換プログラム
- 世界矯正歯科連盟(WFO)フェローシップ
- アメリカ矯正歯科学会(AAO)会員
- インビザライン認定
- 大韓歯科医師会賞 - 延世大学
- KAOレジデント学術大会優秀賞
- 台湾国際矯正代表(韓国)
- TAO & APOS国際矯正優秀賞
- 延世大学矯正科優秀レジデント賞
顧問医師

チェ・ヨンジン
顧問医師現) 中央大学光明病院 口腔顎顔面外科教授
現) ソウル峨山病院 臨床教授
- 蔚山大学歯学修士
- 圓光大学歯学部卒業
- ソウル大学歯科病院インターン
- ソウル峨山病院口腔顎顔面外科レジデント
- 口腔顎顔面外科専門医(厚生労働省認定)
- 統合歯科専門医(厚生労働省認定)
- 大韓顎顔面形成再建外科学会認定
- 大韓口腔顎顔面外科学会会員
- 大韓顎顔面整形外科学会準会員
- SCI論文共同第一著者(J Craniomaxillofac Surgery)
ヨンセオナ歯科が
選ばれる理由
大学病院レベルの
医療を
延世大学臨床教授2名と
トップ専門医が協診治療を提供
最先端技術を完備









主要大学病院の
公式パートナー
術後の大学病院フォローアップ、
症例共有と緊密な連携
ソウル大学盆唐病院

延世セブランス病院

亜洲大学病院
中央大学病院

檀国大学病院
活発な学術研究活動
大学教授との協力、レジデント指導、
最新の臨床データと研究を常にアップデート
豊富な 臨床経験
一般的な歯科医院よりもはるかに多くの臨床経験を継続的に蓄積しています。
最新 研究アップデート
大学教授との連携やレジデント指導を通じて、最新の臨床データと研究動向を常に把握しています。
インプラント植立 特許取得
インプラント研究に専念しています。
より良い治療を目指して常に努力。

デンタルステープラー特許出願中

歯科医師が語る
本当に安全な歯科治療
国民の口腔健康教育のために出版
正しい歯科知識を広める
「患者様が正しい知識を持ち、
歯科治療への恐怖なく
安心して治療を受けられることを願っています」
- 代表院長 キム・ユソン
年中無休
夜間診療対応
大規模チームと施設だからこそ可能
平日
夜間診療
週末・祝日
通常診療
夜間や週末でも
代表院長が直接診療
いたします
建物外観

ヨンセオナ歯科病院
ソルスクエアビル 2階

京畿道龍仁市器興区九城洞ソルスクエア2階
九城駅2番出口より徒歩5分(水仁盆唐線、GTX-A)
アクセス方法
京畿道龍仁市器興区九城洞ソルスクエア2階
ダイソー龍仁九城店向かい
九城駅から: 左折 → ダイソー通過 → 右折
Eマートトレーダースから: 直進1km
水枝ICから: 九城方面出口 → 直進1.5km
便利な駐車場完備
ソルスクエア地下駐車場(B1-B5)

※ 受付での車両登録が必要です
B2、B4はエレベーターなし(B1、B3、B5推奨)
ヨンセオナ歯科は患者様の利便性を最優先に。
快適な駐車から心地よい治療空間まで、
患者様中心の歯科医院を目指しています。
診療時間
ご希望の方法でお問い合わせください
様々な治療について
動画でご紹介
ヨンセオナ歯科代表院長の歯科トーク

医学チャンネルビオンドゥィ出演
ヨ・エスター医師、ホン・ヘゴル医師の健康番組

高齢者の入れ歯からの解放
All-on-X治療
ヨンセオナ歯科病院 - キム・ユソン補綴専門医
キム・ユソン代表院長が
全顎インプラント専門医として出演
All-on-X治療について解説








