Treating Every Patient
Like Our Own Family
Honest and conscientious implants
designed for a lifetime of use.
5
Specialist Doctors
5
Designated Partner Hospitals
4.9
/ 5.0
Patient Satisfaction
Based on Kakao, Google, Naver Maps
VIDEO
Dentures & Full-Arch Implants
Watch the Videos
Yonsei Ona Dental's Chief Director
explains it personally
Everything About Dentures
We answer all your questions about dentures
Full-Arch Implants Explained
Featured on 2M Sub ChannelFeatured on "After the Rain," a medical channel with 2M subscribers
Why Yonsei Ona Dental
Is Special
Prosthodontic Specialist
Training Other Dentists
As a Yonsei University Dental Hospital Clinical Professor,
a Prosthodontic Specialist who has performed thousands of denture/implant cases provides direct care.


Clinical training at Yonsei University College of Dentistry
Top Expert in
Bite Occlusion
An expert in occlusion who directly educates dental students and actively participates in academic research.

89th Korean Academy of Prosthodontics Conference Presentation
Same-Day Temporary Teeth
Immediate Return to Daily Life
With a dedicated in-house lab,
we provide optimal occlusion even for temporary teeth on the same day.
You will never have to spend a single day without teeth.

Morning Surgery
Precise implant placement through digital guides
Temporary Teeth Fabrication
Custom immediate fabrication at our in-house lab
Evening Return to Life
Return to social life immediately without tooth worries
Precise
Final Prosthetics
Through our network as a Yonsei Clinical Professor,
we use the same dental lab as Yonsei University Dental Hospital,
delivering precisely crafted prosthetics.
Skilled Dental Lab
Partner of Yonsei Dental Hospital
Precision Fabrication
Applying latest CAD/CAM digital technology
Perfect Occlusion Implementation
Restoring function identical to natural teeth
Scientific Aftercare
Ensuring Implant Life
The main cause of implant failure is 'inflammation'.
We analyze invisible harmful bacteria
to prevent peri-implantitis at its source.
Care is more important than placement
Implants are more vulnerable to inflammation than natural teeth.
NGS bacterial testing identifies bacterial distribution
and extends implant life through personalized care.
Data-driven Prevention System
- •Tracking peri-implantitis bacteria (P. gingivalis, etc.)
- •Preemptive action before inflammation occurs
- •Lifetime management based on objective data
Minimal Placement, Minimal Incision,
Minimal Bone Grafting
With precise digital diagnosis,
we perform only the essential procedures minimally.
Minimal Placement
Securely fixed with only 6 upper and 4 lower implants
Minimal Incision
Fast recovery with minimal incision surgery
Minimal Bone Grafting
Precise diagnosis for minimal bone grafting
Expert treatment even for high-difficulty cases like bone grafting and sinus lifts.
DENTAL PHOBIA CARE
Afraid of the Dentist?
We Understand Your Heart
CEO Dr. Kim Yu-seong × Mental Health Specialists
Safe Dental Treatment System for Phobia Patients
Many Dentists Say This:
"Now, please relax. You'll be fine as we go along."
"Let's do sleep treatment. It costs $200-$300."
These are either too passive or too aggressive responses.
Sleep treatment is costly and can be risky
for patients with systemic diseases.
Yonsei Ona's
Step-by-Step Personalized Phobia Care
Phobia Scale Evaluation
Accurate level evaluation using empathetic questions that allow patients to answer comfortably, rather than a simple survey.
Psychological Stability Content
Psychological stability videos co-produced with mental health specialists + application of Tell-Show-Do therapy.
Medication-Assisted Treatment
Prescribing safe sedatives like Alprazolam based on evidence to alleviate anxiety.
Sleep (Sedation) Treatment
Securing safety after a systemic disease inquiry, with real-time sedation dosage adjustment using precision equipment.
Yonsei Ona's Dental Phobia Evaluation Survey
We conduct a 5-question evaluation before treatment
to precisely identify the patient's anxiety level.

Treatment methods are adjusted based on individual psychological status.
Tell-Show-Do Therapy
Anxiety doesn't disappear just with words.
We let you see, touch, and experience instruments step-by-step.
Tell
Explain
Show
Show
Do
Experience
Dedicated Spaces for Comfortable Treatment

Tension-Relieving Surgery Waiting Room
A dedicated waiting space where you can compose yourself in a comfortable environment.

Dedicated Recovery Room
An independent recovery space where you can rest comfortably after sleep anesthesia.
What is Conscious Sedation?
It is a treatment method where you receive the procedure in a slightly drowsy state and won't remember most of what happened during it.
It is safe because you relax comfortably while remaining conscious, allowing you to express your state and respond during treatment.
Safety
Procedure performed while maintaining consciousness
Specialists monitor blood pressure, pulse, and oxygen saturation
Use of globally recognized medications
Significantly lower risk of sequelae/side effects as it's not general anesthesia
Reversal agents available to wake up at any time
Comfort
Sedation therapy possible with a simple injection
Only a comfortable feeling remains after the procedure
Confidence in dental treatment with only calm and stable memories
Simple procedure with low cost burden
Yonsei Ona's
Sedation System
Direct Specialist Care
Performed directly by dentists experienced in anesthesia
Systematic Pre-consultation
Thorough checks of systemic diseases, medications, respiratory health, etc.
Safe Medication Use
Medications meeting international standards, with fast recovery and fewer side effects
Continuous Monitoring
Safety management through real-time measurement of oxygen saturation, heart rate, etc.
Post-treatment Recovery Care
Safe return home after sufficient rest in a stable recovery room
Yonsei Ona's Infusion Method
General Clinic (Bolus Method)
Injecting drugs all at once, making it difficult to control sedation depth and potentially causing issues.
Yonsei Ona (Infusion Method)
KALS-certified doctors monitor anesthesia depth and adjust dosage in real-time.
What is KALS?
Korean Advanced Life Support
A Korean advanced life support certification from the Korean Association of Cardiopulmonary Resuscitation, which is specialized emergency training only available to doctors and dentists.

Safe sleep anesthesia with expensive, infusion-specific equipment.
"For those afraid of the dentist,"
Feel understood at Yonsei Ona,
and overcome it at your own pace.
Speed and Quality
Unmatched by Any Other
Same-day temporary teeth completed with in-house lab
General Dental Clinic
External lab request → 1-2 week wait
Direct communication with technician impossible
Re-submission needed for bite adjustments
Yonsei Ona Dental
In-house lab → Same-day temporary teeth
Equipped with latest facilities and research environment
On-site expert technicians with years of collaboration
Immediate bite adjustments via real-time communication
💡 The technician's skill determines prosthetic quality
With advanced equipment and research environment, we've brought in skilled technicians who have worked with our Director for years. We implement the optimal bite for each patient through real-time communication.
IN-HOUSE LAB
On-site Dental Research Lab
Great prosthetics start with great technicians

Fully Equipped with Latest Facilities
It's not just about having a lab.
We've brought in skilled technicians with
the latest digital equipment and research environment.
Technician's skill defines prosthetic quality
No matter how well an implant is placed, it's useless if the prosthetic on top isn't precise. An expert technician who has worked with our Director for years fabricates them directly.
General Dental Clinic
External lab request → 1-2 week wait
Direct communication with technician impossible
Re-submission needed for minor bite adjustments
Yonsei Ona Dental
In-house lab → Same-day temporary teeth
Real-time communication with technician
Optimal results with immediate bite adjustment
Skilled Technicians
On-site expert technicians with years of specialized experience
Years of Collaboration
Implementing optimal occlusion with teamwork perfected over years of working together
Zero Days Without Teeth
From immediately after surgery to final prosthetics, you will never spend a single day without teeth
Even More Special Final Prosthetics
Final prosthetics are fabricated at the same dental lab as Yonsei University Dental Hospital. We combine the benefits of same-day temporary teeth through our in-house lab and precise quality for final prosthetics.
SCIENTIFIC AFTERCARE
What Matters More Than
Placing the Implant Is Aftercare
"We take responsibility until you can use them for life"
First dental clinic in Korea with NGS microbial testing
🧬 Global Genomics Company Macrogen Partnership

NGS Next-Generation Sequencing
Precisely analyzes 700+ microorganisms in your mouth
to identify cavity and periodontal disease-causing bacteria
Why Microbial Testing at a Dental Clinic?
The mouth is "the gateway to your body's health". Harmful oral bacteria don't just stay in your mouth—they travel through the bloodstream to affect cardiovascular disease, diabetes, dementia, and more.

Personalized Analysis Report Provided
Detailed results within 2-3 weeks after testing

Oral Microbes → Systemic Health Connection
Harmful oral bacteria travel through blood vessels
to affect various systemic conditions
Recommended For
Implant Care Needed
Harmful bacteria analysis for peri-implantitis prevention
Gum Disease & Bad Breath
Precise periodontal bacteria analysis and personalized care
Concerned About Overall Health
Oral-gut axis analysis for systemic health check
Testing is Simple
Saliva Collection
3 minutes
NGS Analysis
Macrogen
Consultation
2-3 weeks
Yonsei Ona Dental Always
Operates Twice
Our Chief Director designs the optimal
placement via virtual surgery before
performing the actual procedure.
Fast and Comfortable Surgery
Minimizing Swelling, Pain, and Bone Grafting

1
Precise diagnosis using a 3D oral scanning system to scan the inside of the mouth

2
Planning flapless placement considering the oral structure implemented on the computer

3
Minimizing 1mm deviations by attaching a surgical guide to the treatment area

4
Reducing procedure time and minimizing pain/swelling with minimal incision

5
Simulation surgery conducted for each case to maximize satisfaction
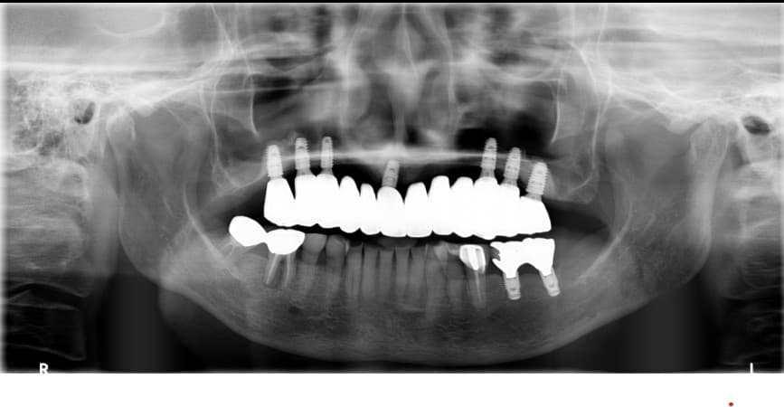
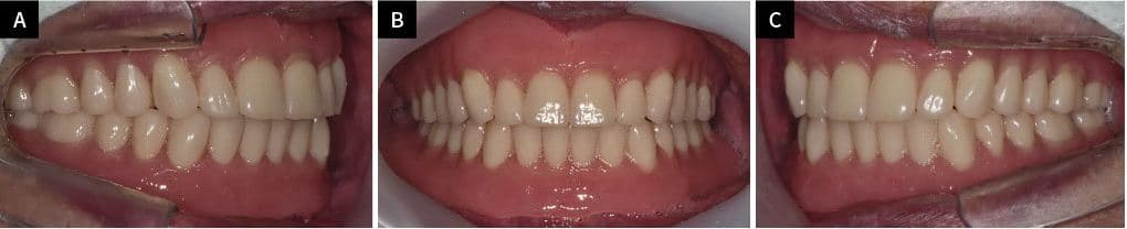
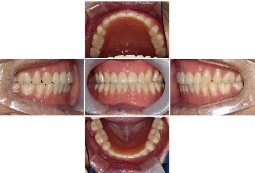
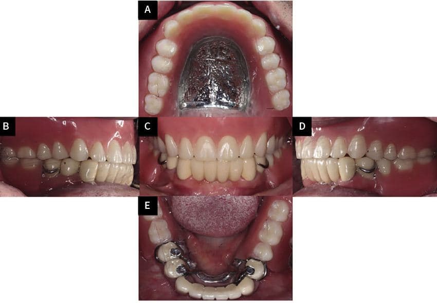
REAL PATIENT RESULTS
Full-Arch Implant Cases
See the amazing transformations of our actual patients

After ✨
Kim●● · 60s Male
Upper Full-Arch Implant

After ✨
Lee●● · 60s Female
Upper Full-Arch Implant

After ✨
Park●● · 70s Male
Lower Full-Arch Implant
DENTURE CASES
Denture Before & After
Improving quality of life with
natural and comfortable dentures

After ✨
Kim●● · 70s Female
Upper & Lower Full Dentures

After ✨
Park●● · 80s Male
Upper & Lower Full Dentures

After ✨
Lee●● · 70s Female
Upper Full Denture + Lower Implant Partial Denture
Precision Customized Dentures
Custom fabricated for each patient at our in-house lab
- ✓
Natural gum colors and tooth alignment
- ✓
Free eating and speaking with comfortable fit
- ✓
Stable fixation when combined with implants
COST-EFFECTIVE TREATMENT
Custom Oral Reconstruction by
Prosthodontic Specialist
Combining implants, crowns, and bridges
into an optimal treatment mix for your condition
to achieve best results at reasonable costs.
Dr. Yuseong Kim
Yonsei Clinical Professor · Dual Board-Certified Specialist
- ✓
Not every tooth needs an implant
- ✓
Minimize cost by properly combining crowns, bridges, and partial dentures
- ✓
Designing optimal treatment plan for each patient
- ✓
Interest-free installments available, customized cost guidance during consultation

After ✨
Kang●● · 50s Male
Implant + Crown + Bridge Combination

After ✨
Song●● · 60s Female
Customized Prosthetic Combination

After ✨
Cho●● · 50s Female
Cost-Effective Customized Treatment
Consult first without cost worries
We will guide you to the optimal treatment mix
and reasonable costs for your condition.
WHY YONSEI ONA
Better Skills Mean
Better Results
Getting it right the first time is the wisest choice
Perfect treatment without revision—that's true skill
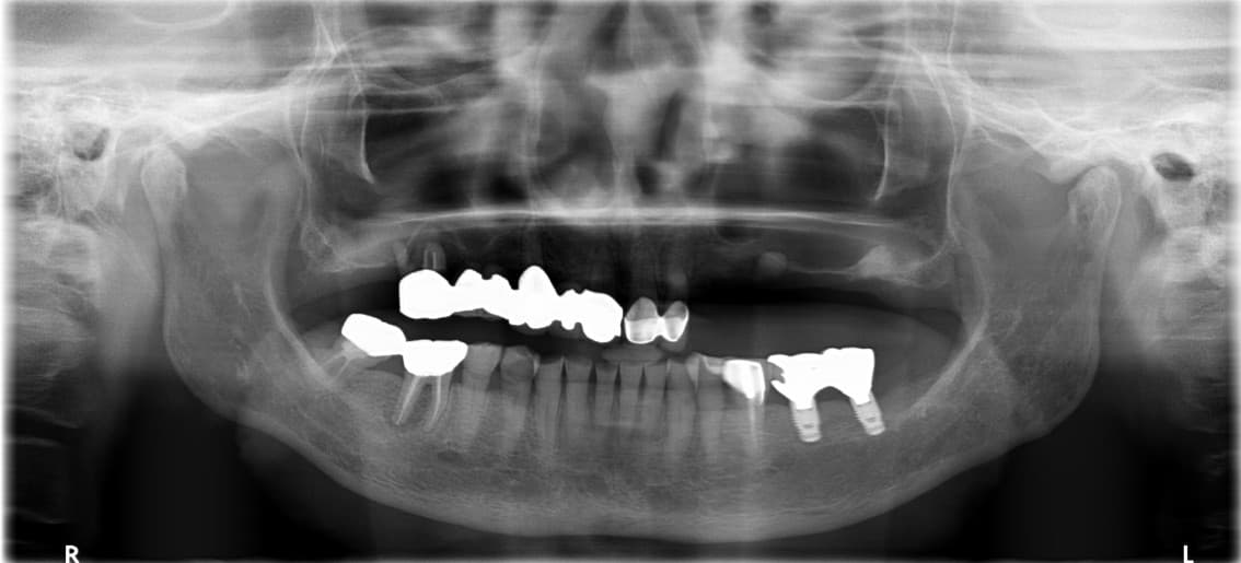
Yonsei Ona Dental Implants
Extensive Clinical Experience
University Hospital-Level Digital Implants
2
Yonsei University Clinical Instructors
5
Multi-specialist Collaboration
Yonsei Ona Dental's Differentiated System
Yonsei Clinical Professor Surgery
A verified specialist who teaches fellow doctors at university hospitals operates directly
NGS Microbial Testing
First dental clinic in Korea to introduce Scientific data for peri-implantitis prevention
3D Digital Guided Surgery
0.1mm precision placement Minimized nerve/blood vessel damage risk
Flapless & Same-Day Placement
Minimized bleeding, pain, and swelling Quick return to daily activities
Implants for a lifetime—who will you trust?
Experience specialist-led collaborative care
5 Yonsei-Trained Specialists
Yonsei Ona Dental
Expert Medical Team

Dr. Yuseong Kim
Chief DirectorCurrent) Yonsei University Clinical Professor
Board-Certified Prosthodontist (MOHW)
Board-Certified Integrated Dentistry Specialist (MOHW)
- Chief Director, Yonsei Ona Dental Hospital
- Yonsei University College of Dentistry Graduate
- Yonsei University Dental Hospital Clinical Practice
- Yonsei University Dental Hospital Intern
- Ajou University Dental Hospital Resident
- Master's Degree in Periodontal Implant Prosthodontics, Ajou University
- Certified Prosthodontist (Ministry of Health and Welfare)
- Taiwan Bio Tech Consulting Physician
- Implant Placement Patent No. 10-2537546
- Dental Stapler Patent Pending
- Advanced Cardiac Life Support (ACLS) Provider
- CPR Certification
- Korean Academy of Prosthodontics Digital Master Course
- UCLA Dental Hospital Externship
- TMJ Therapy Certification
- TMJ Disorder Training Completed
- TMJ Disorder Education & Research Association Member
- Korean Academy of Prosthodontics Member
- Korean Academy of Oral and Maxillofacial Implantology Member
- Korean Academy of Esthetic Dentistry Member
- Korean Academy of Conservative Dentistry Member
- Former) Vice Director, Boryeong Hana Plant
- Former) Vice Director, Ace Dental
- Former) Vice Director, Ansan Yonsei Dental

Dr. Jinhyung Kim
DirectorCurrent) Yonsei University Clinical Professor
Board-Certified Integrated Dentistry Specialist (MOHW)
- Director, Yonsei Ona Dental Hospital
- Yonsei University College of Dentistry Graduate
- Yonsei University Dental Hospital Clinical Practice
- Taiwan Bio Tech Consulting Physician
- Korean Public Health Dentists Association Representative
- TMJ Therapy Certification
- TMJ Disorder Training Completed
- TMJ Disorder Education & Research Association Member
- Korean Academy of Prosthodontics Member
- Korean Academy of Oral and Maxillofacial Implantology Member
- Korean Academy of Esthetic Dentistry Member
- Korean Academy of Conservative Dentistry Member
- U-Penn Endo Course Completed
- Osstem Master Course Completed
- Former) KDCA Oral Examiner
- Former) Dental Director, Dongbu Detention Center Medical Department
- Former) Vice Director, Smile365
- Former) Vice Director, Kim's Plant

Dr. Taewon Kim
DirectorBoard-Certified Integrated Dentistry Specialist (MOHW)
- Yonsei University College of Dentistry Graduate
- Yonsei University Dental Hospital Clinical Practice
- Cre'ad Endo Course Completed
- Osstem AIC Implant Course Completed
- TMJ Disorder Training Completed
- TMJ Disorder Education & Research Association Member
- Korean Academy of Integrated Dentistry Member
- Korean Academy of Esthetic Dentistry Member
- Former) Director, Su Dental Prosthodontics
- Former) Vice Director, Jungang Dental Clinic
- Former) Chief Director, Gwanggyo 365 Lium Dental Hospital

Dr. Taewook Kim
DentistMaster's Degree in Dentistry, Seoul National University
- Seoul National University Graduate School of Dentistry Graduate
- Seoul National University Dental Hospital Comprehensive Care Unit
- TMJ Therapy Certification
- National Health Insurance Corporation Certified Oral Examiner
- U-Penn Endodontics Course
- Osstem AIC Implant Master Course Completed
- Dentis CTS Implant Gold Course Completed
- ATC Esthetic Prosthetics Research Association Member
- American Heart Association BLS Provider
- Former) Vice Director, Seoul Kunst Dental Clinic

Dr. Seungmin Ryu
Orthodontics DirectorBoard-Certified Orthodontist (MOHW)
Yonsei University College of Dentistry (Graduated with Honors)
- Yonsei University Dental Hospital Intern / Orthodontics Resident
- Korean Association of Orthodontists Certified & Member
- Yonsei University Orthodontics Research Association Member
- Yonsei University Graduate School Combined Master's & PhD Program (Orthodontics)
- UCSF & UOP Orthodontics Exchange Program
- World Federation of Orthodontists (WFO) Fellowship
- American Association of Orthodontists (AAO) Member
- Invisalign Certification
- Korean Dental Association Award - Yonsei University
- KAO Residency Academic Conference Excellence Award
- Taiwan International Orthodontics Representative (Korea)
- TAO & APOS International Orthodontics Excellence Award
- Yonsei University Orthodontics Department Outstanding Resident Award
Consulting Physician

Dr. Youngjin Choi
Consulting PhysicianCurrent) Professor of Oral & Maxillofacial Surgery, Chung-Ang University Gwangmyeong Hospital
Current) Clinical Professor, Seoul Asan Medical Center
- Master's Degree in Dentistry, University of Ulsan
- Wonkwang University College of Dentistry Graduate
- Seoul National University Dental Hospital Intern
- Seoul Asan Medical Center Oral & Maxillofacial Surgery Resident
- Board-Certified Oral & Maxillofacial Surgeon (MOHW)
- Board-Certified Integrated Dentistry Specialist (MOHW)
- Korean Association of Maxillofacial Plastic & Reconstructive Surgery Certified
- Korean Association of Oral and Maxillofacial Surgeons Member
- Korean Society of Orthognathic Surgery Associate Member
- SCI Paper Co-First Author (J Craniomaxillofac Surgery)
- Former) Dental Director, Cheongyang Public Health Center
SLOGAN
Your Family's Dental Home,
Yonsei Ona Dental
Caring for you like family,
with honest and conscientious treatment.
Our 5 Promises
We will diagnose honestly and never over-treat.
We will always research ways to save your teeth.
We will treat thoroughly, leaving nothing overlooked.
We will consider patient comfort and minimize pain.
We will provide clean treatments with sterilized instruments and equipment.
Why Yonsei Ona Dental
Is the Best Choice
Digital Facilities
& Specialist Care
Two Yonsei University Clinical Professors
and top specialists provide collaborative care
with cutting-edge technology









Designated Partner of
Major University Hospitals
Post-treatment follow-up care from university hospitals,
sharing clinical cases and close collaboration
Seoul National University Bundang Hospital

Yonsei Severance Hospital

Ajou University Hospital
Chung-Ang University Hospital

Dankook University Hospital
Active Academic Research
We collaborate with university professors, mentor residents,
and stay updated on the latest clinical data and research

Student Clinical Mentoring (Dr. Yuseong Kim)

Student Clinical Mentoring (Dr. Jinhyung Kim)

89th Korean Academy of Prosthodontics Conference Presentation
Extensive Clinical Experience
We continuously accumulate far more clinical experience than typical neighborhood dental clinics.
Latest Research Updates
We stay connected with university professors and mentor residents to keep up with the latest clinical data and research trends.
Implant Placement Patent Filed
We are dedicated to implant research.
Constantly striving for better treatments.

Dental Stapler Patent Pending

A Dentist's Guide to
Truly Safe Dental Treatment
Published for public oral health education
Spreading accurate dental knowledge
“We hope patients can receive treatment
with peace of mind, armed with proper knowledge
and free from fear of dental care”
- Dr. Yuseong Kim, Chief Director
365-Day Service
Evening Hours Available
Made possible by our large team and facility
Weekdays
Evening Hours
Weekends/Holidays
Regular Hours
Even during evenings and weekends,
our care is provided directly by
our Chief Directors themselves
Our Building

Yonsei Ona Dental Hospital
Sol Square Building, 2nd Floor

Sol Square Bldg. 2F, Guseong-dong, Giheung-gu, Yongin, Korea
5-min walk from Guseong Station Exit 2 (Suin-Bundang Line, GTX-A)
How to Find Us
Sol Square 2F, Guseong-dong, Giheung-gu, Yongin, Gyeonggi, Korea
Across from Daiso Yongin Guseong Store
From Guseong Station: Turn left → Pass Daiso → Turn right
From Emart Traders: Go straight 1km
From Suji IC: Exit towards Guseong → Go straight 1.5km
Convenient Parking Available
Sol Square Underground Parking (B1-B5)

※ Vehicle registration required at front desk
B2 and B4 have no elevator access. (B1, B3, B5 recommended)
Yonsei Ona Dental prioritizes your convenience.
From comfortable parking to pleasant treatment spaces,
we are building a patient-centered dental clinic.
Office Hours
Contact us using your preferred method
Learn About Various Treatments
Through Our Videos
Dental Stories from Yonsei Ona Dental's Chief Director

Featured on Medical Channel Biondwi
Health Program with Dr. Esther Yeo, Dr. Hong Hye-geol

Liberation from Dentures in Elderly
All-on-X Treatment
Yonsei Ona Dental Hospital - Dr. Yuseong Kim, Prosthodontist
Dr. Yuseong Kim, Chief Director
appeared as a full-arch implant specialist
to explain All-on-X treatment
Frequently Asked Questions
Are full-arch implants really better than dentures?
Yes, definitely different. Dentures maintain only 30% of natural tooth chewing power, while implants restore 80-90%, making a completely different eating experience. No hassle of removing and inserting, maintenance is as simple as natural teeth, and more hygienic. Once done, they last a lifetime, and you can smile confidently again.
Do you also make dentures?
Yes, of course. Our Chief Director has extensive experience creating dentures at university hospitals. While we generally recommend implants for full-arch cases, if dentures are absolutely necessary, we'll confidently create the best dentures for you.
Full-arch implants are too expensive for me.
We completely understand. Yonsei Ona Dental suggests various ways to reduce cost burden, such as combining partial dentures with implants, proceeding with upper and lower jaw separately, or optimizing the number of implants. Interest-free installments are also available, which we'll explain in detail during consultation.
How many implants are needed for full-arch treatment?
Typically, 6 implants for the upper jaw and 4 for the lower jaw. However, this varies based on your jawbone condition, and Yonsei Ona Dental designs for maximum results with minimum implants. We'll provide the optimal number after 3D CT precise diagnosis.
Can I get full-arch implants even with significant bone loss?
Yes, you can. Yonsei Ona Dental has the technology to perform implants without bone grafting. Our digital guide system analyzes the optimal position in remaining bone to perform surgery with minimal or no bone grafting. Many patients who were told it was impossible at other clinics due to bone loss visit us.
I've used dentures for years. Can I switch to implants?
Yes, you can switch. Even after long-term denture use, we determine implant feasibility through precise 3D CT diagnosis of jawbone condition. Even with bone resorption, we maximize use of remaining bone with digital guide technology and proceed with minimal bone grafting if necessary.
Can I eat right after surgery?
Yes, you can. Thanks to our same-day high-strength temporary teeth produced in our in-house lab, you can eat soft foods immediately after surgery. There's not a single day without teeth, and you can return to daily life right after surgery. Final prosthetics are crafted at the same dental lab used by Yonsei University Dental Hospital.
Is full-arch implant surgery painful?
You can receive treatment comfortably through conscious sedation. You'll feel almost no pain during surgery, and even after surgery, our digital guided surgery's minimal incision approach results in significantly less swelling and pain compared to traditional surgery. Prescribed pain medication is sufficient for management.














