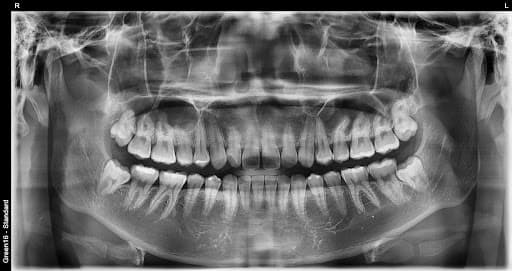
所有类型的智齿,
我们都拥有丰富的经验
无论多么困难的智齿,
我们都凭丰富的经验为您安全拔除
5
位
各专科医师协诊
6
年+
大学医院工作经历
365
天
周末与节假日正常诊疗
VIDEO GUIDE
智齿拔除的一切
在此视频中 为您一一解答
我们将详细解释智齿拔除的时机、方法及注意事项
等所有相关信息
视频稍后上传
IMPORTANT MOMENTS
“
智齿疼痛 在预告之外到来了...
在平稳时期提前解决,可以保护重要时刻

服兵役
在军队中突然 牙痛难以处理

考试期间
在重要考试前夕 突然产生疼痛

结婚 · 面试
在人生的重要日子 由于面部肿胀...

旅行 · 出差
在海外急诊室 昂贵的治疗费
SYMPTOMS
由于智齿而 可能产生的症状
由于智齿生长的形态或 位置等原因,可能会出现多种症状
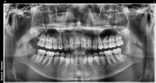
横生智齿
横向生长会挤压 相邻的牙齿
引发炎症
忽视智齿会导致 牙龈肿胀和发生炎症
RISK LEVELS
智齿各状态的 风险等级
WHY US
延世温牙科 智齿拔除的特别之处
凭借丰富的智齿拔除临床经验和 系统的诊疗体系,提供不同层次的诊疗

充足的临床经验
综合牙科专家代表院长的 安全且精确的智齿拔除

一站式诊疗系统
从诊断到拔牙、 后期护理均在当天完成

缓解疼痛的麻醉系统
采用最新的缓解疼痛麻醉设备, 让您在无痛担忧下进行手术
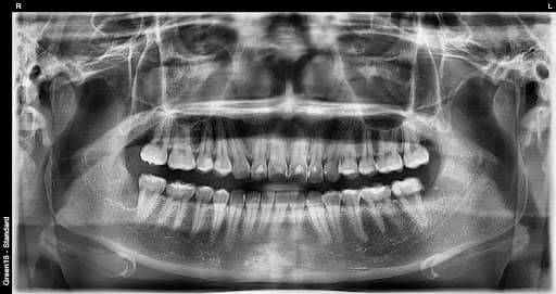
高难度拔牙
2位延世大学兼职教授 亲自处理 高难度拔牙案例
复杂的阻生智齿 - 即使深埋在牙龈中也没问题
贴近神经的智齿 - 无需担心神经损伤,安全拔除
水平阻生智齿 - 即使是横向生长的困难案例也可以处理
凭丰富的拔牙经验,
安全解决疑难案例
DENTAL PHOBIA CARE
害怕看牙医吗?
我们从理解您的内心开始
金裕星代表院长 × 精神健康医学科专家
为恐惧症患者量身定制的安全牙科治疗系统
许多牙科医院会这样说
“来,请放松。做着做着就好了”
“请接受睡眠治疗吧。费用是20-30万韩元”
这些应对方式要么太消极,要么太激进。
睡眠治疗不仅费用负担重,
对患有全身疾病的患者也可能存在风险。
延世温牙科特有的
分阶段恐惧症定制护理
恐惧程度量表评估
并非单纯的问卷,而是通过能让患者放松回答的共情式提问进行准确评估
心理安定内容
应用与精神健康医学科专家共同制作的心理安定视频 + Tell-Show-Do 疗法
药物辅助治疗
基于循证医学开具阿普唑仑等安全镇静剂,以缓解焦虑
应用睡眠治疗
在全身疾病问诊后确保安全性,通过精密设备实时调节睡眠药物剂量
延世温牙科的 牙科恐惧症评估问卷
我们进行包含5个问题的简易评估,
以便在治疗前准确掌握患者的焦虑水平

根据个人的心理状态调整治疗方式
Tell-Show-Do 疗法
仅仅通过解释并不能消除不安。
我们会分阶段让您亲自看到、摸到器械并共同参与。
Tell
解释
Show
展示
Do
体验
助力舒适治疗的 专用空间

舒缓紧张的手术等待室
在舒适的环境中整理心情的专用等待空间

运营专用恢复室
睡眠麻醉后可以舒适恢复的独立空间
什么是清醒镇静疗法?
这是一种让您在类似困倦的状态下接受手术,且术后不太记得手术过程中发生的事情的治疗方法。
由于是在保持意识的状态下让您放松紧张情绪,您在治疗过程中仍能表达自己的状态并做出反应,因此非常 安全。
安全性
在保持意识的状态下进行手术
由专家检查血压、脉搏、血氧饱和度
使用国际公认的药物
并非全身麻醉,因此后遗症和副作用极低
备有可随时唤醒的逆转药物
舒适感
可通过简单的注射进行镇静疗法
手术结束后仅留下轻松的感觉
只留下舒适安定的记忆,增强看牙医的信心
费用负担较轻,操作简便
延世温牙科特有的
睡眠麻醉系统
专业医疗团队亲自操作
由麻醉经验丰富的牙科医生直接实施
系统化的术前问诊
彻底检查全身疾病、服用药物、呼吸系统健康等
使用安全的药物
符合国际标准的药物,恢复快且副作用少
全过程监控
实时测量血氧饱和度、心率等,确保安全管理
术后恢复室管理
在安定的恢复室充分休息后再回家
延世温牙科的 输注(Infusion) 方式
普通牙科 (一次性注射方式)
一次性注入药物,难以调节麻醉深度,可能存在风险
延世温牙科 (输注方式)
由获得KALS认证的院长实时把握患者麻醉深度并调节药量
什么是 KALS?
Korean Advanced Life Support
这是由大韩心肺复苏协会认证的韩国型高级生命支持资格,是只有医生和牙科医生才能取得的应对紧急情况的专业培训。

使用昂贵的输注专用设备进行安全的睡眠麻醉
"如果您害怕看牙医,"
请在延世温牙科
获得理解,并慢慢克服。
WHY NOW?
为什么必须 现在 拔除?
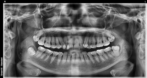
忽视智齿会导致的问题
急性炎症
严重的疼痛和面部肿胀
邻牙蛀牙
损害相邻牙齿
颞下颌关节功能障碍
慢性头痛和下颌疼痛
牙齿排列不齐
需要进行正畸治疗
早期拔牙的优点
快速康复
越年轻康复速度越快
预防并发症
无炎症时拔牙更安全
降低成本
在问题发生前进行处理
舒适治疗
无炎症时麻醉效果更好
由于一直忍痛最终去急诊室的 患者非常多
由于炎症加重,每周都有患者 在凌晨寻找急诊室 提前拔除智齿可以预防这种痛苦
5位延世培养专家
延世温雅牙科
专家医疗团队

Dr. Yuseong Kim
代表院长现) 延世大学临床教授
口腔修复科专科医生 (卫生福利部)
综合牙科专科医生 (卫生福利部)
- 延世温雅牙科医院代表院长
- 延世大学牙科学院毕业
- 延世大学牙科医院临床实习
- 延世大学牙科医院实习医生
- 亚洲大学牙科医院住院医师
- 亚洲大学牙周种植修复学硕士
- 口腔修复科专科医生 (卫生福利部)
- 台湾Bio Tech咨询医师
- 种植牙植入相关专利 No. 10-2537546
- 牙科订书机专利申请中
- 高级心脏生命支持 (ACLS) 认证
- 大韩口腔修复学会数字化大师课程
- UCLA牙科医院进修
- 颞下颌关节治疗认证
- 颞下颌关节教育研究会会员
- 大韩口腔修复学会会员
- 大韩口腔颌面种植学会会员
- 大韩审美牙科学会会员
- 大韩保存牙科学会会员

Dr. Jinhyung Kim
院长现) 延世大学临床教授
综合牙科专科医生 (卫生福利部)
- 延世温雅牙科医院院长
- 延世大学牙科学院毕业
- 延世大学牙科医院临床实习
- 台湾Bio Tech咨询医师
- 韩国公共卫生牙医协会代表
- 颞下颌关节治疗认证
- 颞下颌关节教育研究会会员
- 大韩口腔修复学会会员
- 大韩口腔颌面种植学会会员
- 大韩审美牙科学会会员
- 大韩保存牙科学会会员
- 宾夕法尼亚大学根管课程结业
- Osstem大师课程结业

Dr. Taewon Kim
院长综合牙科专科医生 (卫生福利部)
- 延世大学牙科学院毕业
- 延世大学牙科医院临床实习
- Cre'ad 根管课程结业
- Osstem AIC 种植课程结业
- 颞下颌关节培训结业
- 颞下颌关节教育研究会会员
- 大韩综合牙科学会会员
- 大韩审美牙科学会会员

Dr. Taewook Kim
牙医首尔大学牙科硕士
- 首尔大学牙科研究生院毕业
- 首尔大学牙科医院综合诊疗部
- 颞下颌关节治疗认证
- 国民健康保险公团口腔检查员
- 宾夕法尼亚大学根管课程
- Osstem AIC 种植大师课程结业
- Dentis CTS 种植金牌课程结业
- ATC 审美修复研究会会员
- 美国心脏协会 BLS 认证

Dr. Seungmin Ryu
正畸院长正畸专科医生 (卫生福利部)
延世大学牙科学院 (优等毕业)
- 延世大学牙科医院实习 / 正畸住院医师
- 大韩正畸学会认证及会员
- 延世大学正畸研究会会员
- 延世大学研究生院硕博连读 (正畸专业)
- UCSF & UOP 正畸交流项目
- 世界正畸联合会 (WFO) 会员
- 美国正畸学会 (AAO) 会员
- 隐适美认证
- 大韩牙科协会奖 - 延世大学
- KAO 住院医师学术会议优秀奖
- 台湾国际正畸代表 (韩国)
- TAO & APOS 国际正畸优秀奖
- 延世大学正畸科优秀住院医师奖
咨询医师

Dr. Youngjin Choi
咨询医师现) 中央大学光明医院口腔颌面外科教授
现) 首尔峨山医院临床教授
- 蔚山大学牙科硕士
- 圆光大学牙科学院毕业
- 首尔大学牙科医院实习
- 首尔峨山医院口腔颌面外科住院医师
- 口腔颌面外科专科医生 (卫生福利部)
- 综合牙科专科医生 (卫生福利部)
- 大韩颌面整形重建外科学会认证
- 大韩口腔颌面外科学会会员
- 大韩正颌外科学会准会员
- SCI论文共同第一作者 (J Craniomaxillofac Surgery)
SLOGAN
您家庭的牙科之家,
延世温雅牙科
像家人一样关爱您,
诚实认真地治疗。
我们的 5项承诺
我们会诚实诊断,绝不过度治疗。
我们会始终研究保存您牙齿的方法。
我们会彻底治疗,不留任何遗漏。
我们会考虑患者舒适度,尽量减少疼痛。
我们会使用消毒器械和设备提供干净的治疗。
为什么选择延世温雅牙科
是最佳选择
数字化设施
专业诊疗
两位延世大学临床教授
和专科医生提供 协同诊疗
配备数字化诊断设备









大型大学医院
官方合作伙伴
大学医院术后随访护理,
临床病例共享及紧密协作
首尔大学盆唐医院

延世Severance医院

亚洲大学医院
中央大学医院

檀国大学医院
活跃的学术研究
我们与大学教授合作,指导住院医师,
紧跟最新临床数据和研究动态
丰富的 临床经验
我们持续积累远超普通社区牙科诊所的临床经验。
最新 研究动态
我们与大学教授保持联系,指导住院医师,紧跟最新临床数据和研究趋势。
种植牙植入 专利申请
我们致力于种植牙研究。
不断追求更好的治疗方法。

牙科订书机专利申请中

牙医讲述
真正安全 的牙科治疗
为大众口腔健康教育而出版
传播正确的牙科知识
“我们希望患者能够安心接受治疗,
用正确的知识武装自己
摆脱对牙科治疗的恐惧”
- Dr. Yuseong Kim 代表院长
全年无休服务
提供夜间诊疗
得益于我们的大型团队和设施
工作日
夜间诊疗
周末/节假日
正常营业
即使在夜间和周末,
我们的诊疗也由
代表院长亲自提供
医院大楼

延世温雅牙科医院
Sol Square大楼 2层
如何找到我们
韩国京畿道龙仁市器兴区九城洞Sol Square大楼2层
大创龙仁九城店对面
从九城站: 左转 → 经过大创 → 右转
从Emart Traders: 直行1公里
从水枝IC: 往九城方向出口 → 直行1.5公里
便捷停车
Sol Square地下停车场 (B1-B5)

※ 需在前台登记车辆信息
B2和B4层无电梯 (推荐B1、B3、B5层)
延世温雅牙科以您的便利为优先。
从舒适的停车到愉快的治疗空间,
我们正在打造一个 以患者为中心的牙科诊所。
营业时间
请使用您喜欢的方式联系我们
通过视频了解
各种治疗项目
延世温雅牙科代表院长的牙科故事

出演 医学频道Biondwi
健康节目 与 Esther Yeo医生, Hong Hye-geol医生

老年人假牙困扰的解放
All-on-X治疗
延世温雅牙科医院 - 口腔修复专家 Dr. Yuseong Kim
Dr. Yuseong Kim 代表院长
作为 全口种植专家 出演
讲解All-on-X治疗
常见问题
我真的需要 拔智齿吗?
即使没有疼痛,智齿也可能在牙龈内部引起炎症、蛀牙和咬合不齐。3D CT精确诊断后,如果不早期拔除,可能会出现急性炎症、邻牙损伤和颞下颌关节问题等。年轻时拔除恢复更快,并发症风险更低。
你们能处理 困难的智齿病例吗?
是的,可以。延世温雅牙科拥有丰富的拔牙经验和大学医院级别的系统来处理疑难病例。其他诊所转介到大医院的横向阻生和完全埋伏等困难病例,我们都能使用精确的3D CT诊断安全拔除。
拔智齿 疼吗?
我们最先进的微创麻醉系统将手术过程中的疼痛降到最低。对于焦虑的患者,可以选择睡眠麻醉舒适地接受治疗。术后肿胀和疼痛可以用处方药物控制,年轻时拔除恢复更快。
拔智齿后 需要注意什么?
拔牙后避免吃热辣食物,吃软食。2-3天内避免剧烈运动和桑拿,按时服用处方的抗生素和消炎药。咬住纱布30分钟到1小时,避免过度刷牙或使用吸管。术后会提供详细的护理说明。
智齿可以 快速拔除吗?
3D CT拍片和诊断后可以立即拔除。我们的一站式系统可以在一次就诊中完成诊断、拔除和术后护理。但是,如果炎症严重,先进行消炎治疗后再拔除更安全,医护人员会根据您的口腔状况建议最佳时机。












